Toxoplasma gondii
MICROBIOLOGY
- T. gondii is a protozoan parasite that infects humans and food animals and causes worldwide zoonosis.
- The only definitive hosts are members of the family Felidae, and humans are intermediate hosts.
- Infectious forms include sporozoites within oocysts, tachyzoites and bradyzoites [Fig 1] found in tissue cysts.
- Oocysts sporulate [Fig 2] and become infectious after 1-5 days in the environment. Sporozoites transform into tachyzoites and invade muscle and neural tissue [Fig 3]. Bradyzoites are the dormant form found in tissue cysts.
- Cats shed oocysts, which are resistant to freezing and survive > 1 year in moist environments, e.g., soil and sand.
- Transmission routes include:
- Ingestion of sporulated oocysts via contaminated litter box, sandbox or garden, and consuming contaminated water, fruits and vegetables, or raw seafood.[18]
- Consumption of raw or undercooked meat containing tissue cysts, especially pork, lamb, and wild game meat.[21]
- In utero, especially if primary maternal infection occurs during or just before pregnancy.[23]
- Organ transplant or blood transfusion from seropositive donor to seronegative recipient.[15][13]
- Seroprevalence varies by region, with higher prevalence rates in Mexico, Brazil, Eastern/Central Europe, the Middle East, Southeast Asia, and Africa.[12]
CLINICAL
- Primary infection in an immunocompetent host usually presents as a self-limited disease.
- The host may be asymptomatic or present with mild illness, including fever, malaise, painless lymphadenitis, single and cervical, multiple or generalized.
- Constitutional symptoms include fatigue and may take weeks or months to resolve.
- The primary infection may occasionally be associated with acute cerebral or disseminated disease.[22]
- Solid organ transplant-associated infections are most often seen in the first month after transplant in the seronegative recipient (R-) from a donor (D+) organ (R-/D+).
- The host may be asymptomatic or present with mild illness, including fever, malaise, painless lymphadenitis, single and cervical, multiple or generalized.
- Secondary infection is a reactivation of latent infection in those who are immunosuppressed due to advanced HIV/AIDS, cancer therapy, transplantation or biologic therapies.
- T. gondii encephalitis presents as fever, headache, confusion, seizure, and focal motor findings with ring-enhancing lesions [Fig 4]. Patients with encephalitis may present with a non-focal, nonspecific illness, headache, and psychiatric symptoms.
- Pulmonary toxoplasmosis is often life-threatening in highly immunosuppressed allo-HSCT recipients.
- Prophylaxis is routine in those who are T. gondii seropositive allo-HSCT recipients (R+).[1]
- Ocular disease can present in infants, children, or adults with congenital retinochoroiditis, during pregnancy, and in acute or reactivated infection in an immunocompromised host.
- Toxoplasmosis is the most common cause of posterior uveitis and is diagnosed by ophthalmologic exam and ocular fluid PCR.[10][9]
- Retinochoroiditis is characterized by intensely white lesions in clusters [Fig 5], with vitreous inflammation, satellite lesions, retinochoroidal scar, retina vasculitis, and granulomatous anterior chamber inflammation in a third of patients.[4]
- Retinochoroiditis may cause visual field loss if lesions are located near the optic disc.
- Differential diagnosis includes CMV, HSV, VZV, syphilis, and fungal infections.
- Ocular disease may be self-limited in immunocompetent hosts; acute infection lesions are often unilateral and spare the macula. Those with late sequelae of congenital infection have bilateral disease, retinal scars and macular involvement.
- Active retinochoroiditis, especially in an immunocompromised host, may present as reduced visual acuity due to intense vitritis, macular traction, or detachment.
- Treatment aims to control retina and optic disc damage and decrease tachyzoite load.[5]
- Toxoplasmosis is the most common cause of posterior uveitis and is diagnosed by ophthalmologic exam and ocular fluid PCR.[10][9]
- Congenital disease with transplacental infection of the fetus occurs as a result of primary infection during pregnancy.
- Incidence and severity depend on gestational age at the time of maternal infection. Transmission risk is inconsistent throughout pregnancy.[11]
- If infection occurs during early pregnancy, congenital infection is rare, but the outcome can be severe or life-threatening to the fetus.
- Primary maternal infection in the latter half of pregnancy is more frequently associated with congenital infection.
- Although most infected infants are born healthy, 22% may manifest clinical disease at 3 years.[20]
- Fetal outcomes can be severe and include miscarriage, stillbirth or severe CNS sequelae.
- Incidence and severity depend on gestational age at the time of maternal infection. Transmission risk is inconsistent throughout pregnancy.[11]
- Diagnosis of primary or acute infection based on serology, histopathology, or DNA PCR.
- Serologic studies that support diagnosis are seroconversion, or 4-fold rising titers confirm new infection.
- A single IgM measurement cannot reliably diagnose acute infection, as IgM can remain positive for ≥2 years.
- CDC guidance on interpretation of IgG/IgM serology results can be accessed at DPDx - Toxoplasmosis Laboratory Diagnosis
- Histopathology may demonstrate organisms in tissue biopsies from infected organs.
- Special Population--pregnancy in immunocompetent individual
- Serology of toxoplasma IgG positive and IgM negative in the first or second trimester indicates a high likelihood that maternal infection is remote and without risk to the fetus.[7]
- Positive IgM +/- IgG should prompt further testing at commercial or reference lab, e.g., Dr. Jack S. Remington Laboratory for Specialty Diagnostics[19] to run toxoplasma panels: Sabin-Feldman dye test (IgG), IgM, IgE, and IgA ELISA, differential agglutination, and IgG avidity tests.
- Accessed 6/22/24 at https://www.sutterhealth.org/services/lab-pathology/toxoplasma-serology-la...
- Positive IgM +/- IgG should prompt further testing at commercial or reference lab, e.g., Dr. Jack S. Remington Laboratory for Specialty Diagnostics[19] to run toxoplasma panels: Sabin-Feldman dye test (IgG), IgM, IgE, and IgA ELISA, differential agglutination, and IgG avidity tests.
- Fetal ultrasound may detect ventriculomegaly, intracranial calcifications or hepatosplenomegaly.
- Amniocentesis for fluid by T. gondii PCR.
- Perform at ≥ 18 weeks gestational age and ≥ 4 weeks after the presumed acquisition of infection to reduce the risk of a false negative.
- The negative predictive value is high (98.8%).
- Serology of toxoplasma IgG positive and IgM negative in the first or second trimester indicates a high likelihood that maternal infection is remote and without risk to the fetus.[7]
- Serologic studies that support diagnosis are seroconversion, or 4-fold rising titers confirm new infection.
- Secondary or reactivation diagnosis may rely on the patient’s response to therapy, including improved CNS lesions, IgG-positive serology, and classic appearance on CNS imaging.
- Almost all individuals with HIV and toxoplasma encephalitis (TE) have CNS lesions and are blood IgG positive.
- Imaging for TE is contrast-enhanced CT or MRI that shows multiple ring-enhancing lesions with surrounding edema in the gray matter of the cortex or basal ganglia.
- Occasionally, TE can present as a single lesion.
- Differential diagnoses of the single-lesion disease include primary CNS lymphoma, TB, cryptococcosis, brain abscess, PML and Chagas disease.
- PET or SPECT scans may help distinguish between toxoplasmosis and primary CNS lymphoma but are not reliably specific.
- Lack of radiologic improvement after 2 weeks of therapy is an indication to consider an alternative diagnosis.
- Occasionally, TE can present as a single lesion.
- Histopathology directly detects the parasite by microscopy.
- Stereotactic CT-guided brain biopsy is usually reserved for patients who are unresponsive to 2 weeks of therapy.
- Blood or tissue culture, especially in immunocompromised patients, is rarely done.
- PCR of CSF for T. gondii has high specificity (96%--100%) and low sensitivity (50%).[8]
- Ocular fluid by small volume aqueous or vitreous tap, 0.1mL for multiplex PCR.[16]
SITES OF INFECTION
- CNS: encephalitis, seizures, coma.
- Multifocal lesions on contrast-enhanced brain CT or MRI, especially in the basal ganglia.
- Typical radiographic appearance + therapeutic response = presumed diagnosis.
- Ocular: posterior uveitis, retinochoroiditis, unilateral, unifocal, large lesion; can be necrotizing, important to distinguish from CMV or VZV (PORN) in AIDS.
- Lymph node: isolated, multiple or generalized lymphadenopathy.
- Heart: myocarditis in the severely immunocompromised.
- Lung: pneumonitis, especially in HSCT recipients.
- Cutaneous: rare, may appear like erythema multiforme, nodules, urticaria or maculopapular lesions. Diagnose by skin biopsy displaying tachyzoites.
- Systemic: dissemination is seen in congenital infection, R-/D+ organ transplant,[15] R+/D- HSCT,[1] and reported in Amazonia toxoplasmosis.[22]
TREATMENT
Primary Infection
- Acute, self-limited disease in an immunocompetent, non-pregnant individual usually requires no treatment.
- Treatment is recommended if an individual presents with visceral disease or the symptoms are severe or persistent.
Immunocompromised/reactivation Infection
- TE is often treated empirically; evidence of clinical and radiographic response to 2 weeks of therapy supports the diagnosis.
- Preferred: treatment duration, 6 weeks:[8][2]
- Pyrimethamine 200 mg PO once, then weight-based:
- ≤60 kg: pyrimethamine 50 mg PO daily + sulfadiazine 1000 mg PO q6hr + leucovorin 10-25 mg PO daily
- >60 kg: pyrimethamine 75 mg PO daily + sulfadiazine 1500 mg PO q6hr + leucovorin 10-25 mg PO daily
- Duration: If the response to therapy is slow or incomplete, >6 weeks may be required for initial therapy.
- Leucovorin (folinic acid) 10-25 mg PO daily reverses bone marrow suppression of pyrimethamine.
- Pyrimethamine 200 mg PO once, then weight-based:
- Alternatives:
- Pyrimethamine + leucovorin + clindamycin 600 mg PO/IV four times daily.
- Add agent for PCP prophylaxis.
- TMP-SMX (TMP 5 mg/kg and SMX 25 mg/kg) IV/PO twice daily
- Prosty et al. report evidence for TMP-SMX as the preferred therapy and describe similar efficacy with less toxicity and cost than pyrimethamine-containing regimens.[2]
- Atovaquone 1500 mg PO twice daily + pyrimethamine + leucovorin
- Atovaquone 1500 mg PO twice daily + sulfadiazine (or if unable to tolerate sulfa or pyrimethamine as a single agent)
- Azithromycin 900-1200 mg PO daily +pyrimethamine + leucovorin
- Pyrimethamine + leucovorin + clindamycin 600 mg PO/IV four times daily.
- If pt unable to take PO:
- Consider TMP/SMX IV OR clindamycin IV +/- oral pyrimethamine.
- Use the shortest duration possible if corticosteroids are needed for CNS mass effect.
- Anticonvulsants as prophylaxis are not recommended.
Secondary Prophylaxis (TE in AIDS)
- Preferred: chronic maintenance
- Pyrimethamine 25-50 mg PO daily + sulfadiazine 2000-4000 mg PO in 2-4 divided doses + leucovorin 10-25 mg PO daily.
- Discontinue once asymptomatic and CD4 >200 for >6 mos.[8]
- Alternatives:
- Clindamycin 600 mg PO three times daily + pyrimethamine 25-50 mg PO daily + leucovorin 10-25 mg PO daily.
- Add agent for PCP prophylaxis.
- Atovaquone 750-1500 mg PO twice daily + pyrimethamine 25 mg PO daily + leucovorin 10 mg PO daily
- TMP/SMX DS 1 tab PO twice daily
- Clindamycin 600 mg PO three times daily + pyrimethamine 25-50 mg PO daily + leucovorin 10-25 mg PO daily.
Pregnancy
- Maternal treatment of primary toxoplasmosis or acute infection is the same as in non-pregnant adults.
- Prevention of vertical transmission:
- Early pregnancy/first trimester, if the mother is found to seroconvert
- Spiramycin 1g every 8 hr does not cross the placenta and is not used for fetal treatment.[11]
- Beyond 1st trimester (≥ 18wks) or confirmed fetal infection (e.g., by PCR):
- Pyrimethamine 50 mg twice daily x 2d then 50 mg per day + sulfadiazine 75 mg/kg/d in two divided doses x 2d then 50 mg/kg twice daily + leucovorin 10-20 mg daily.
- It may reduce the risk of congenital toxoplasmosis development or treat fetal infection.
- Due to teratogenicity concerns, pyrimethamine should not be used in the first trimester.
- Early pregnancy/first trimester, if the mother is found to seroconvert
- Prevention of acquiring infection/maternal:
- Educate expectant mothers to avoid changing cat litter and to avoid raw or undercooked meats.
- Some countries and states check monthly serology during pregnancy.
Primary Prophylaxis
- HIV/AIDS, Preferred: for T. gondii IgG+ patients with CD4 < 100
- TMP-SMX DS 1 tab PO once daily
- Alternatives:
- TMP/SMX DS 1 tab PO three times weekly
- Dapsone 50 mg PO daily + pyrimethamine 50 mg PO weekly + leucovorin 25mg PO weekly
- Atovaquone 1500 mg PO daily + pyrimethamine 25 mg PO daily + leucovorin 10 mg PO daily
- Discontinue prophylaxis for CD4 >200 for >3 mos.
- Solid organ transplant: TMP/SMX post-transplant prophylaxis is recommended in seronegative recipients/seropositive donors.
- HSCT patients: prophylaxis with TMP/SMX in those seropositive (R+), consider hematologic toxicity.
- Alt: pyrimethamine-sulfadiazine
Ocular Toxo
- Oral systemic ’classic’ therapy: use sulfadiazine, pyrimethamine, leucovorin and systemic corticosteroids.
- Limited by adverse drug reactions (reversible pancytopenia, GI intolerance, neurologic effects)
- No role for steroids as a sole therapy; antiparasitic agents must accompany them.
- TMP-SMX is increasingly preferred due to greater availability and lower cost than pyrimethamine.[9]
- Intravitreous injection: clindamycin and dexamethasone[24]
- Localized treatment to the site of infection with reduced systemic complications and high concentration in intraocular tissue
- No difference in efficacy was reported in RCT comparing oral and intravitreal injections (n=68) with 1.6 mean number of injections: 18 (53%), 1 injection; 11 (32%), 2 injections; and 5 (15%), 3 injections. Subconjunctival hemorrhage in 3 (9%), transient raised intraocular pressure in 1 (3%). No vitreous hemorrhage, endophthalmitis, retinal detachment or cataracts were reported.[6]
- In development, intraocular biodegradable polymer implants for controlled release of clindamycin
- Secondary prophylaxis
Selected Drug Comments
Drug | Recommendation |
Alternate therapy for TE; may replace sulfadiazine in combination with pyrimethamine. | |
Alternate therapy for TE; may replace sulfadiazine in combination with pyrimethamine. | |
Alternate therapy for TE; may replace sulfadiazine in combination with pyrimethamine. | |
Preferred therapy for primary TE and PCP prophylaxis. Adverse reactions include rash, cytopenias, LFT abnormalities and hyperkalemia. | |
Alternate therapy for TE may replace sulfadiazine in combination with pyrimethamine. | |
Preferred therapy for TE. Leucovorin serves as a rescue to reverse pyrimethamine-associated adverse effects: bone marrow suppression, nausea, and rash. | |
Drug of choice for maternal treatment of newly infected women in early pregnancy to prevent vertical transmission. |
Basis for recommendation
- Aerts R, Mehra V, Groll AH, et al. Guidelines for the management of Toxoplasma gondii infection and disease in patients with haematological malignancies and after haematopoietic stem-cell transplantation: guidelines from the 9th European Conference on Infections in Leukaemia, 2022. Lancet Infect Dis. 2024;24(5):e291-e306. [PMID:38134949]
Comment: The availability of quantitative PCR to detect T. gondii in blood, CSF, and any body fluid or tissue serves as the cornerstone for the diagnosis of infection, similar to the model of CMV infection and disease following HSCT. The use of the DNA repetitive 529-bp fragment improves sensitivity. Notably, antibody testing is removed from diagnostic criteria. Specific recommendations include pretransplant assessment of recipient and donor, use of qPCR for screening and diagnosis, and pre-emptive therapy and treatment of disease (Table 3).
- Prosty C, Hanula R, Levin Y, et al. Revisiting the Evidence Base for Modern-Day Practice of the Treatment of Toxoplasmic Encephalitis: A Systematic Review and Meta-Analysis. Clin Infect Dis. 2023;76(3):e1302-e1319. [PMID:35944134]
Comment: Authors use 32 studies of TE to argue for TMP-SMX as a treatment with similar efficacy for clinical response, radiologic response, and mortality compared to pyrimethamine-based regimens. Given pooled percentages supporting similar clinical and radiologic responses with lower rates of discontinuation due to the toxicity of TMP-SMX along with a limited number of RCTs (N=5), the authors recognize the need for RCTs to confirm TMP-SMX as a preferred therapy for TE.
- Felix JP, Lira RP, Zacchia RS, et al. Trimethoprim-sulfamethoxazole versus placebo to reduce the risk of recurrences of Toxoplasma gondii retinochoroiditis: randomized controlled clinical trial. Am J Ophthalmol. 2014;157(4):762-766.e1. [PMID:24388839]
Comment: Single-center Brazilian RCT (n=95) evaluated secondary prevention of Toxoplasma gondii retinochoroiditis with TMP_SMX for 12 mos follow-up, reported zero (0/46) recurrences in the treatment arm versus 13% (6/47) recurrences in the placebo arm.
- Harrell M, Carvounis PE. Current treatment of toxoplasma retinochoroiditis: an evidence-based review. J Ophthalmol. 2014;2014:273506. [PMID:25197557]
Comment: A review of ocular toxoplasmosis treatment finds that TMP-SMX is the preferred first-line therapy, with intravitreous clindamycin plus dexamethasone as an alternative in those who are unresponsive or cannot tolerate oral tx or during pregnancy. TMP-SMX is also an effective secondary preventive therapy, and corticosteroids without antiparasitics should be avoided as this can lead to fulminant necrotizing retinochoroiditis.
- de-la-Torre A, Stanford M, Curi A, et al. Therapy for ocular toxoplasmosis. Ocul Immunol Inflamm. 2011;19(5):314-20. [PMID:21970662]
Comment: Expert recommendation for ocular toxoplasmosis by clinical scenario: infants with congenital infection, a woman who is pregnant, and adult active retinochoroiditis. Regimens include classic therapy- oral pyrimethamine, sulfadiazine, folinic acid plus corticosteroids; oral TMP-SMX plus corticosteroids; and intravitreal injection of clindamycin and dexamethasone.
- Soheilian M, Ramezani A, Azimzadeh A, et al. Randomized trial of intravitreal clindamycin and dexamethasone versus pyrimethamine, sulfadiazine, and prednisolone in treatment of ocular toxoplasmosis. Ophthalmology. 2011;118(1):134-41. [PMID:20708269]
Comment: RCT of 68 pts with ocular toxoplasmosis was treated with oral therapy (pyrimethamine, sulfadiazine, and prednisolone x 6 wks) or clindamycin plus dexamethasone intravitreal injections (1-3 injections, mean 1.6 injections) found no difference in lesion size reduction and visual acuity improvement. The interaction of IgM serostatus and the reduction of lesion size was significant; IgM+ pts responded better to oral therapy, and IgM- pts responded better to intravitreal injections.
- Montoya JG, Remington JS. Management of Toxoplasma gondii infection during pregnancy. Clin Infect Dis. 2008;47(4):554-66. [PMID:18624630]
Comment: Serological screening remains the main tool for the prevention of congenital toxoplasmosis, along with educating mothers about potential risk factors. This paper reviews many of the complex diagnostic and treatment decisions for this infection during pregnancy.
- Panel on Antiretroviral Guidelines for Adults and Adolescents. Guidelines for Prevention and Treatment of Opportunistic Infections in HIV-Infected Adults and Adolescents. Department of Health and Human Services. Available at: https://clinicalinfo.hiv.gov/en/guidelines/hiv-clinical-guidelines-adult-and-adolescent-opportunistic-infections/whats-new?view=full Accessed 6/9/24.
Comment: In the era before ART, 33% of those seropositive for T. gondii w/AIDS not on OI prophylaxis developed toxoplasmic encephalitis in 12 12-month period. Priorities include immune reconstitution on ART, chemoprophylaxis if CD4 < 100, and exposure prevention. TMP-SMX DS 1 tab PO daily is preferred prophylaxis, recommended alternative is dapsone-pyrimethamine plus leucovorin. Discontinuation of primary prophylaxis in those with CD4 >200 for >3 mos.
References
- Yogeswaran K, Furtado JM, Bodaghi B, et al. Current practice in the management of ocular toxoplasmosis. Br J Ophthalmol. 2023;107(7):973-979. [PMID:35197262]
Comment: The International Ocular Inflammation Society surveyed 192 uveitis-specializing ophthalmologists from 48 countries with a 36-item questionnaire. The typical disease was described as unilateral retinochoroiditis at the border of a pigmented scar. For typical presentations, one-third reported making the diagnosis on clinical appearance. Respondents tested intraocular fluids, both aqueous (54%) and vitreous (22%), by DNA PCR. Over 90% preferred systemic antibiotics as first-line therapy, most commonly TMP-SMX (67%). Intravitreal clindamycin was used in combination with systemic therapy.
Rating: Important - Kalogeropoulos D, Sakkas H, Mohammed B, et al. Ocular toxoplasmosis: a review of the current diagnostic and therapeutic approaches. Int Ophthalmol. 2022;42(1):295-321. [PMID:34370174]
Comment: The authors describe retinochoroiditis of ocular toxoplasmosis.
- Ahmed M, Sood A, Gupta J. Toxoplasmosis in pregnancy. Eur J Obstet Gynecol Reprod Biol. 2020;255:44-50. [PMID:33075679]
Comment: The overall risk of mother-to-child transmission from acute infection in pregnancy ranges from 20-50%. It occurs when the mother acquires primary infection during pregnancy, reactivation of infection in the mother immunocompromised during pregnancy, and reinfection with a new higher virulence strain. In earlier pregnancy, there is a lower risk of vertical transmission and a higher risk of fetal morphological abnormalities. The algorithms used to diagnose maternal infection include IgG, IgM, and IgG avidity assay (Figure 1).
Rating: Important - Safarpour H, Cevik M, Zarean M, et al. Global status of Toxoplasma gondii infection and associated risk factors in people living with HIV. AIDS. 2020;34(3):469-474. [PMID:31714356]
Comment: Meta-analysis of 111 studies from 37 countries included 66,139 blood samples and calculated pooled prevalence of people living with HIV by IgM (3%) and by molecular methods (26%).
Rating: Important - Galván-Ramírez ML, Sánchez-Orozco LV, Andrade-Sierra J, et al. Toxoplasma infection in kidney donors and transplant recipients from Western Mexico: A one-year follow-up. Transpl Infect Dis. 2019;21(5):e13139. [PMID:31271696]
Comment: In renal transplant donors (N=99) and recipients (N=99) in Western Mexico followed for 12 months from 2014-2016, the baseline frequency of IgG seropositivity was greater in donors (38%) than recipients (25%). Seroconversion was seen in 3%, and reactivation was seen in 11%. All recipients receive prophylaxis with TMP/SMX for 3 months after transplant. Neither T. gondii DNA nor clinical cases of toxoplasmosis were observed.
- Kumar R, Ison MG. Opportunistic Infections in Transplant Patients. Infect Dis Clin North Am. 2019;33(4):1143-1157. [PMID:31668195]
Comment: Authors emphasize the period of peak immunosuppression, months 1 to 12 after transplantation, predisposes to classic opportunistic infections, which include CMV, aspergillus, Nocardia, and toxoplasmosis. The highest risk for toxoplasmosis is in seropositive donor heart transplants into seronegative recipients. Prophylaxis with TMP-SMX decreases the disease risk from 50-75% to 2%.
- Lee Loy J, Koratala A, De Los Santos Y, et al. Disseminated toxoplasmosis: a life-threatening complication of inadequate posttransplant prophylaxis. Kidney Int. 2019;95(5):1274. [PMID:31010482]
Comment: Case report of disseminated toxoplasmosis in cadaveric kidney (R-/D+) transplant where TMP/SMX was avoided due to hyperkalemia and OI prophylaxis with aerosolized pentamidine targeting Pneumocystis jirovecii did not prevent toxoplasmosis. The patient received alemtuzumab for induction and mycophenolate mofetil, tacrolimus, and prednisone for maintenance immunosuppression. One month post-transplant, the patient presented with fever and hypotension and progressed to acute respiratory distress and death within 2 days. Post-mortem testing was positive for T gondii by serology and histology (heart and lung biopsies).
- Minkus CL, Bispo PJM, Papaliodis GN, et al. Real-Time Multiplex PCR Analysis in Infectious Uveitis. Semin Ophthalmol. 2019;34(4):252-255. [PMID:31177936]
Comment: Review of multiplex PCR for evaluating infectious uveitis requires < 0.1 mL of ocular fluid and can identify common pathogens, including toxoplasmosis, HSV, VZV, and CMV.
- Robert-Gangneux F, Meroni V, Dupont D, et al. Toxoplasmosis in Transplant Recipients, Europe, 2010-2014. Emerg Infect Dis. 2018;24(8):1497-1504. [PMID:30014843]
Comment: Survey data collected from 46 centers in 11 countries included a mean number of allo- (1,016) and auto-HSCT (1,524) procedures as well as heart (155), kidney (1,286), and liver (622) transplants. From 2010-2014, 87 cases were reported, including cerebral, disseminated, or pulmonary toxoplasmosis in 42 patients (48%, severe), ocular or fever in 14 (16%), and asymptomatic or diagnosed by PCR in 31 (36%). The authors report that serologic screening is routine for HSCT and SOT donors. Most centers screened HSCT and SOT recipients. All allo-HSCT recipients received TMP-SMX prophylaxis for at least 6 months post-transplant, and some centers conducted serologic follow-up for Toxoplasma, esp. for heart transplant with a serologic mismatch (D+/R-). PCR is an essential tool for diagnosing infection. Authors conclude that in SOT (D+/R-), TMP-SMX given for at least a year may improve survival.
Rating: Important - Opsteegh M, Kortbeek TM, Havelaar AH, et al. Intervention strategies to reduce human Toxoplasma gondii disease burden. Clin Infect Dis. 2015;60(1):101-7. [PMID:25225234]
Comment: Public health interventions to reduce the T. gondii burden of disease include prenatal and neonatal screening and treatment, health education of pregnant women and the general population, biosecurity programs with exposure reduction, vaccination of food animals, and decontamination of meat. Other considerations include reducing the stray cat population, educating cat owners, and vaccinating cats.
- Jones JL, Bonetti V, Holland GN, et al. Ocular toxoplasmosis in the United States: recent and remote infections. Clin Infect Dis. 2015;60(2):271-3. [PMID:25301214]
Comment: A survey of T. gondii Ab+ serum samples from 205 patients diagnosed with ocular toxoplasmosis from 2004 to 2010 confirmed by Palo Alto Medical Foundation Toxoplasma Reference Laboratory, employed acute serologic profile and detected recent infection (within 6 mos) in 24 patients (12%). Authors conclude that ocular disease may develop soon after acquiring T. gondii infection in a larger percentage of the population (>10%) than previously believed.
Rating: Important - Wallon M, Peyron F, Cornu C, et al. Congenital toxoplasma infection: monthly prenatal screening decreases transmission rate and improves clinical outcome at age 3 years. Clin Infect Dis. 2013;56(9):1223-31. [PMID:23362291]
Comment: An observational cohort of 2048 pregnant women diagnosed with acute Toxoplasma infections at a reference lab in Lyon, France. The majority (93%) received treatment. Risk of congenital infection varied with gestational age: < 10% before 12 wks, 20% at 19 wks, 52% at 28 wks, and 70% at 39 wks. Most infected infants were healthy; 22% had clinical signs at age 3 yrs. The authors recommend fetal monitoring and amniocentesis with PCR of fluid to prevent unnecessary antenatal treatment.
Rating: Important - Jones JL, Dubey JP. Foodborne toxoplasmosis. Clin Infect Dis. 2012;55(6):845-51. [PMID:22618566]
Comment: The authors emphasize the foodborne transmission of T gondii. Commercial meat processing, i.e., cooking, freezing, salting, and injecting with salts and water, kills tissue cysts. However, increased demand for ’free-range’ pork and chicken increases the prevalence of T gondii in the food supply. Antibodies to T gondii are detectable in goat meat and venison (Table 1). Raw oysters, mussels, and clams pose an infection risk. Cooking meats to the recommended temperature prevent toxoplasmosis: whole cuts to 150’ with 3-minute rest, ground meat and wild game meat to 160’, and poultry to 165’.
Rating: Important - Demar M, Hommel D, Djossou F, et al. Acute toxoplasmoses in immunocompetent patients hospitalized in an intensive care unit in French Guiana. Clin Microbiol Infect. 2012;18(7):E221-31. [PMID:21958195]
Comment: The characterization of ’Amazonian toxoplasmosis’ manifest as acute, disseminated toxoplasmosis with pneumonia in French Guiana included 11 patients (9 men, 8 permanent forest dwellers, 8 with dietary risk factors, i.e., ingestion of raw game meat, carpaccio) treated with sulfadiazine and pyrimethamine, and two switched from sulfadiazine to clindamycin. Authors suggest that T. gondii strains found in the Amazon basin are more aggressive, resulting in severe pulmonary disease more often than strains isolated in Europe and North America.
Rating: Important - Boyer K, Hill D, Mui E, et al. Unrecognized ingestion of Toxoplasma gondii oocysts leads to congenital toxoplasmosis and causes epidemics in North America. Clin Infect Dis. 2011;53(11):1081-9. [PMID:22021924]
Comment: A cross-sectional study correlated serum antibody to 11-kDa sporozoite protein in 59 of 76 (78%) acutely infected mothers who transmitted T. gondii to their fetuses in utero to known risk factors, i.e., exposure to cats, oocyst-contaminated soil, and meat not cooked to well-done. Detection of anti-sporozoite antibodies identified oocysts as infection sources rather than bradyzoites in tissue cysts. Transmission risks were identified in 49%, suggesting that undetected contamination of food and water by oocysts may be a frequent and unrecognized source of infection. Furthermore, the US does not employ a gestational serologic screening program, which, given the lack of reliable risk factors, would have the greatest likelihood of preventing fetal disease.
Rating: Important - Lasave AF, Díaz-Llopis M, Muccioli C, et al. Intravitreal clindamycin and dexamethasone for zone 1 toxoplasmic retinochoroiditis at twenty-four months. Ophthalmology. 2010;117(9):1831-8. [PMID:20471684]
Comment: Case series (n=12) of intravitreal clindamycin and dexamethasone in 4 pts (3 pregnant, 1 intolerant of oral tx) and oral therapy in 8 pts (6 pts, TMP-SMX and clindamycin; 2 pts, pyrimethamine, sulfadiazine, folinic acid). The mean number of injections is 3.6 (range: 2-5) with a mean interval of 15.5+/-4 days. Ten eyes improved and 2 eyes remained stable at 24 mos. One report of macular scarring.
Media
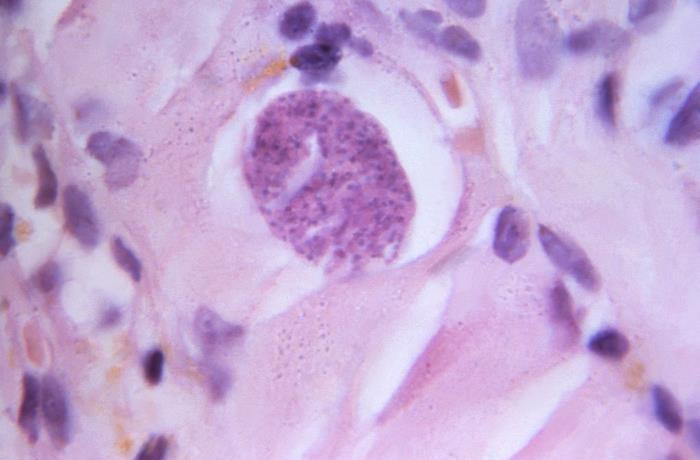
T. gondii protozoan tissue cyst
H&E 900x photomicrograph of human muscle showing a tissue cyst with developing bradyzoites.
Source: CDC/Dr. Martin Hicklin
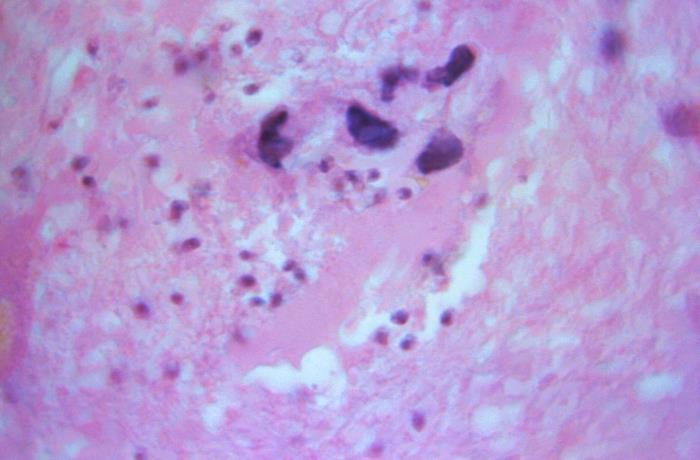
T gondii brain tissue
Free tachyzoites seen in this 900X H&E of brain tissue in this patient with neurotoxoplasmosis.
Source: CDC/Dr. Martin Hicklin
Toxoplasma gondii life cycle
Source: CDC/ Alexander J. da Silva, PhD; Melanie Moser
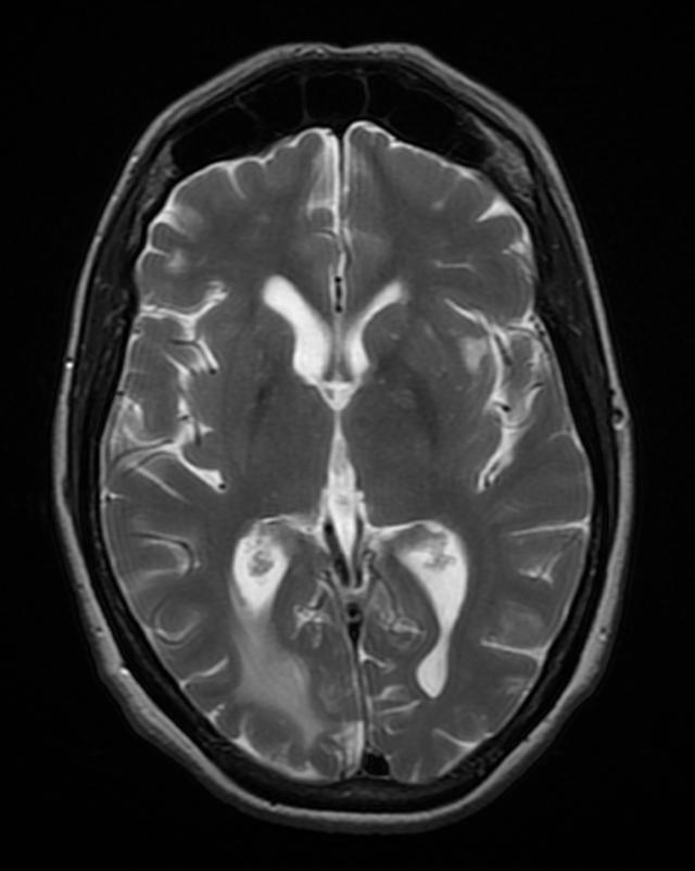
Brain toxoplasmosis
Right occipital lobe toxoplasmosis in a patient with AIDS
Source: Wikimedia commons, Jmarchn
https://upload.wikimedia.org/wikipedia/commons/f/f3/BrainToxoplasmosis_MRI_4_11.png
Toxoplasma retinochoroiditis
Source: CDC

Johns Hopkins ABX Guide

