Staphylococcus aureus
MICROBIOLOGY
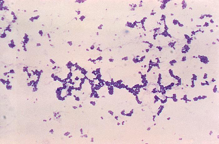
- Aerobic, Gram-positive cocci [Fig. 1], usually seen in clusters.
- It can be easily grown on blood agar or other conventional media.
- S. aureus: coagulase-positive and thermonuclease-positive.
- Blood agar with a novobiocin (NB) disc: creamy, gold colonies; β-hemolysis, novobiocin sensitive.
- Mannitol fermentation positive
- DNase production: positive
- Rapid identification methods, numerous (not a complete list below):
- Fluorescence in situ hybridization (85 to 100% sensitivity and 100% specificity)
- PCR (93.8 to 100% sensitivity and 98.6 to 100% specificity), multiple methods
- mec A, SCCmec cassette, orfX gene (SCCmec-orfX)
- Enzyme-based tests (90.5 to 100% sensitivity and 96.6 to 100% specificity)
- Direct tube coagulase test (65 to 84.1% sensitivity and 98.7 to 100% specificity)
- Chromogenic methods (sensitivity > 99%)
- Antimicrobial resistance: rare isolates remain penicillin-susceptible. In many areas, MRSA > MSSA.
- Penicillin resistance (MSSA) is conferred by penicillinase production, which can be overcome by the addition of a beta-lactamase inhibitor (e.g., amoxicillin/clavulanate, ampicillin/sulbactam) or use of penicillinase-resistant penicillins (e.g., oxacillin, nafcillin).
- The use of penicillin V or G for serious infections is discouraged, as the reliability of penicillin susceptibility is questionable without detailed testing; it is suggested to use agents typically employed for methicillin-susceptible Staphylococcus aureus (MSSA).
- < 5% of isolates in the U.S. may appear susceptible to penicillin.
- Methicillin resistance (MRSA) is conferred by the presence of the mecA gene, which encodes penicillin-binding protein 2a, an enzyme with a low affinity for beta-lactams. This leads to resistance to methicillin, oxacillin, nafcillin, and cephalosporins.
- Community-acquired MRSA (CA-MRSA) isolates (less noted now as MSSA and MRSA are now nearly equivalent in many hospitals/communities): often maintain susceptibility to tetracyclines (tetracycline, doxycycline, minocycline, tigecycline) and TMP/SMX.
- Clindamycin susceptibilities vary geographically. If the isolate is erythromycin-resistant, one must confirm clindamycin susceptibility with the D-test.
- VISA, VRSA: Vancomycin resistance remains rare and is typically seen in patients undergoing long-term vancomycin therapy (e.g., ulcers in diabetic dialysis patients).
- Penicillin resistance (MSSA) is conferred by penicillinase production, which can be overcome by the addition of a beta-lactamase inhibitor (e.g., amoxicillin/clavulanate, ampicillin/sulbactam) or use of penicillinase-resistant penicillins (e.g., oxacillin, nafcillin).
- S. aureus: coagulase-positive and thermonuclease-positive.
CLINICAL
- Carried usually in the anterior nares by 20-30% of the U.S. population.
- Higher carriage rates are seen in some populations, e.g., diabetics, injection drug users (IDU), HIV or dialysis patients.
- Carriers have a greater risk of subsequent infection.
- Risk factors: skin disease, venous catheters, other foreign bodies (e.g., prosthetic joints, pacemakers), IDU, hemodialysis, and recent surgical procedure.
- Methicillin resistance is now common in both community and many hospital settings in North America (much less in some Northern European countries).
- MRSA has been traditionally associated with healthcare system interaction; CA-MRSA has emerged as a significant pathogen in the 1990s, especially in children, prisoners, and IDUs (although rates were also increased in adults with no clear risk factors). However, in many communities, rates of MRSA ~50% or higher and no longer epidemiologically as important.
- Extensive range of infections; every organ has been involved, among common presentations:
- Simple boils, uncomplicated cellulitis, skin and soft tissue post-surgical infections, necrotizing fasciitis
- Most skin/soft tissue infections are relatively benign with a good response to I&D ± antibiotics, although recurrent infections can occur in some.
- Rarely, a serious disease or necrotizing fasciitis may occur.
- Probably not a frequent cause of cellulitis in the absence of purulence (abscess) or wound, as uncomplicated cellulitis is mostly streptococcal in origin[26].
- Pneumonia: especially suspect with influenza-associated infection.
- Bacteremia, endocarditis
- Meningitis
- Osteoarticular infections (osteomyelitis, septic arthritis)
- Pyomyositis
- Medical device infections
- Visceral abscess(es)
- Simple boils, uncomplicated cellulitis, skin and soft tissue post-surgical infections, necrotizing fasciitis
- Dx: positive cx from a sterile site (blood, joint, CSF), abscess or wound.
- Positive cx or test from nares (MRSA screening) = colonization, not an infection.
- Staphylococcal toxic shock syndrome (see separate module) is caused by TSST-1 or other enterotoxin-producing strains.
- A constellation of fever, low blood pressure, a red rash, and multiorgan failure.
- Risks include tampon use, nasal packing, and surgical wounds.
- Diarrheal disease: ingestion of preformed Staphylococcal enterotoxin causes acute, self-limited gastroenteritis. Incubation is rapid, taking 2-6 hours.
- Uncommonly diagnosed, except in outbreak situations.
SITES OF INFECTION
Some common presentations, listed--by no means comprehensive.
- Bloodstream: primary risk is the presence of an intravascular catheter, which should be removed.
- It may occur without apparent focus or entry site at any age, but it is more common in older adults.
- Evaluate if without an apparent focus: consider endocarditis (TTE/TEE), mycotic aneurysms or vertebral infection (discitis, osteomyelitis, epidural abscess)
- Skin/soft tissues: folliculitis, cellulitis, furuncle [Fig 2], carbuncle, abscess, impetigo (may occur in combination with Streptococcus pyogenes).
- Breast: mastitis
- Abscesses: spleen, kidney, epidural space; visceral or deep abscesses occur almost always due to hematogenous seeding from bacteremia
- Cardiac: Endocarditis occurs in 6-25% of S. aureus bacteremia, affecting both native and prosthetic valves.
- Bone: osteomyelitis (S. aureus leading cause, most common is vertebral osteomyelitis secondary to bacteremia/discitis).
- Prosthetic devices: e.g., pacemaker leads and pocket, prosthetic joints
- Lung: nosocomial pneumonia or following influenza
- Septic pulmonary emboli are associated with right-sided endocarditis
- Mucosal surfaces: related to the release of TSST-1 and subsequent toxic shock syndrome
- GI: toxin-associated gastroenteritis
- CNS: postoperative meningitis, meningitis or cerebritis associated with bacteremia/endocarditis
TREATMENT
General considerations
- In severely ill or at-risk patients for MRSA, empiric coverage is traditionally with vancomycin IV. However, given potential toxicities, many clinicians are choosing other drugs empirically, including daptomycin, ceftaroline or linezolid, depending on the clinical presentation.
- Anti-staphylococcal penicillins and cefazolin appear superior to vancomycin and other lipo/glycopeptides, if susceptible, i.e., MSSA.
- For hospital-acquired staphylococcal bacteremia, most ID clinicians obtain echocardiography. Highly suggested for:
- Patients with ESRD or on hemodialysis
- Vertebral osteomyelitis, discitis or epidural abscess
- Intravascular or intracardiac device
- Prolonged bacteremia, ≥ 4d.
- Severe MRSA infections with vancomycin MIC 1.5-2.0 (so-called hVISA) not responding to vancomycin therapy, consider an alternative agent (e.g., daptomycin or ceftaroline).
- Several studies have shown worse clinical outcomes with vancomycin in these settings. This remains controversial.
- Vancomycin
- Risks for nephrotoxicity start if troughs are 15-20 mg/L; often unpredictable (fast or with cumulative dosing).
- Therapeutic monitoring:
- Trough concentrations of at least 15 mg/kg likely achieve an AUC: MIC ratio of at least 400, but it remains unclear whether this value is too high, too low, or just right, and is also likely dependent on the host and disease process.
- More recent evidence suggests that troughs are not an ideal surrogate for a target AUC: MIC ≥400, with many patients able to achieve a goal AUC: MIC with troughs of less than 15 mg/L.
- Guidelines suggest 15-20 mg/kg to allow for tissue penetration in severe illness.
- Predictors of nephrotoxicity: no single factor is predictive.
- Trough > 20 mg/L
- Use of concomitant nephrotoxins
- Cumulative dosing > 4 g/d
- ICU admission
- Trough concentrations of at least 15 mg/kg likely achieve an AUC: MIC ratio of at least 400, but it remains unclear whether this value is too high, too low, or just right, and is also likely dependent on the host and disease process.
- Be aware of the MIC determination method for S. aureus.
- Daptomycin: caution for use with vancomycin MIC > 1.0, especially if switching from vancomycin therapy due to higher rates of non-susceptibility of daptomycin and clinical failures.
- Check daptomycin MICs.
- VISA and VRSA infections remain rare, which is quite different from those with Enterococcus (VRE).
- VRSA: vancomycin MIC ≥16 µg/mL due to resistance genes (vanA operon, codes enzymes that modify or eliminate the vancomycin binding site, derived from VRE.
- First identified in 2002, only 14 isolates were described by 2015[21].
Staphylococcus aureus bacteremia (SAB)
- S. aureus bacteria (SAB): Perform a detailed history and physical to detect the source and, if metastatic spread has occurred. Infectious disease consultation is recommended in most cases.
- Remove foci of infection whenever possible; remove the implicated venous catheter if present.
- May occur without apparent focus or entry site.
- Evaluate if without focus for endocarditis (TTE (transthoracic echocardiography)/TEE (transesophageal echocardiography), mycotic aneurysms or other deep infection, e.g., abscess, spinal involvement (discitis, vertebral osteomyelitis, epidural abscess).
- Rule out endocarditis with echocardiography (TTE/TEE).
- Mortality rates of up to 20-40% (MRSA > MSSA).
- The appropriate duration of therapy improves outcomes.
- Risks for poor outcomes include age, SOFA score, and cirrhosis.
- Treatment:
- MSSA: The superiority of β-lactams makes them a clear favorite over vancomycin.
- Preferred:
- Alternatives:
- For PCN allergy: cefazolin 2g IV q8h
- Cefazolin can be given safely to those with a history of PCN anaphylaxis without skin testing or test doses.
- Only avoid if there is a history of DRESS, TEN, or SJS with beta-lactams or a history of cephalosporin anaphylaxis.
- Then select options under MRSA treatment.
- Only avoid if there is a history of DRESS, TEN, or SJS with beta-lactams or a history of cephalosporin anaphylaxis.
- Most MSSA bacteremia cases can be treated with cefazolin with equivalent mortality but less chance of AKI than with the use of oxacillin.
- Would use oxacillin or nafcillin for initial therapy of left-sided MSSA endocarditis and deep infections without source control, but could then change to cefazolin with negative blood cultures and source control.
- Note rationale: inoculum effect may occur in MSSA Type A Bla that hydrolyze beta-lactam bonds of cefazolin but not oxacillin or nafcillin. Perhaps 10-30% may exhibit an inoculum effect, and this could be associated with worse outcomes with high burden infections.
- Would use oxacillin or nafcillin for initial therapy of left-sided MSSA endocarditis and deep infections without source control, but could then change to cefazolin with negative blood cultures and source control.
- For use in iHD:
- 2g post-dialysis if next dialysis in 2d. Use 3g if the next dialysis is in 3d.
- Other cephalosporins or beta-lactams:
- Some limited data suggest outcomes may be worse with cefuroxime or ceftriaxone compared to semi-synthetic penicillins.
- MSSA Type C Bla inoculum effect can contribute to worse outcomes if using ampicillin/sulbactam or piperacillin/tazobactam.
- Cefazolin can be given safely to those with a history of PCN anaphylaxis without skin testing or test doses.
- Consider oxacillin/nafcillin desensitization for life-threatening Type 1 PCN allergy (hives/anaphylaxis).
- Severe beta-lactam allergy:
- Vancomycin 15 mg/kg IV q12h
- Daptomycin 6-8 mg/kg IV q24h
- For PCN allergy: cefazolin 2g IV q8h
- MRSA:
- Preferred:
- Vancomycin 15 mg/kg q 8-12h
- Consider loading dose for severe infections: guidelines recommend 25-35 mg/kg, although at Johns Hopkins, favor 20-25 mg/kg, particularly in patients with any baseline or anticipated renal dysfunction.
- Subsequent dosing guided by AUC/MIC monitoring or checking vancomycin serum trough levels.
- Daptomycin 8-10 mg/kg IV daily (note FDA-approved dosing is 6 mg/kg)
- FDA approved for S. aureus bacteremia and right-sided endocarditis, preferred in most instances; some experts recommend higher doses 8-10 mg/kg daily for severe infections.
- Suggest using only if knowledge of MIC, generally considered susceptible at MIC ≤1 mg/L.
- Higher MICs have been associated with poorer outcomes.
- Check CK for potential myositis; also may develop eosinophilic pneumonia.
- Do not use for MRSA pneumonia because it is inactivated by pulmonary surfactant.
- If using after vancomycin failure, daptomycin non-susceptibility may develop compared to the original isolate.
- Recheck of daptomycin susceptibility from the latest MRSA isolate is recommended.
- For treatment of persistent MRSA bacteremia (>3-5 days, depending on illness severity)
- Combine with another agent such as ceftaroline, ceftoibiprole or TMP/SMX.
- Combination therapy is used to avoid the emergence of daptomycin resistance, especially if source control is not achieved.
- Combine with another agent such as ceftaroline, ceftoibiprole or TMP/SMX.
- Vancomycin 15 mg/kg q 8-12h
- Alternatives: for severe allergy or treatment failure, consider infectious diseases consultation. Little robust data to guide choices. Unclear if monotherapy or combination therapy is needed for salvage therapy (see below). With the exception of ceftibiprole or daptomycin, none of the regimens below are FDA-approved for the treatment of bacteremia.
- Linezolid 600mg IV/PO q12h
- Not FDA approved for S. aureus bacteremia, the black box warning is related to increased mortality seen in patients with Gram-negative, not Gram-positive bacteremia.
- Ceftaroline 600mg IV q8h
- Ceftoibiprole 667 mg IV q 6h
- Teicoplanin 6-12 mg/kg IV once daily
- Not currently available in the U.S.
- Telavancin 10 mg/kg IV q24h
- TMP/SMX 5 mg/kg IV q8-12h
- Linezolid 600mg IV/PO q12h
- No routine role for employing aminoglycosides or rifampin in combination.
- MRSA isolates with MIC ≥ 2 µg/mL may be associated with worse outcomes if treated with vancomycin.
- If such patients are not responding well to vancomycin, consider switching to an alternative, e.g, daptomycin or combination therapy (see salvage therapy section).
- Dalbavancin, the long-acting lipoglycopeptide, has been used for staphylococcal bacteremia, but usually in logistically challenging situations, with limited data.
- Preferred:
- MSSA: The superiority of β-lactams makes them a clear favorite over vancomycin.
- Duration of therapy:
- Bacteremia: 28d is the standard course of treatment.
- Short-course therapy, 14 days only if the following criteria are met:
- Endocarditis is ruled out by TTE +/- TEE (transesophageal echocardiography)
- No implanted prostheses (e.g., prosthetic valves, cardiac devices, or arthroplasties)
- Blood cultures drawn 2-4 days after the initial cultures were negative, the patient defervesces within 72 hours of appropriate therapy.
- No evidence of metastatic infection
- Some avoid short courses in patients who meet short-course criteria but have multiple comorbidities, e.g., diabetes, liver or advanced renal disease, or immunosuppression.
- Perform blood cultures q 24-48h until clearance of bacteria is documented.
- Short-course therapy, 14 days only if the following criteria are met:
- Endocarditis or epidural abscess: 42d minimum.
- Bacteremia: 28d is the standard course of treatment.
Endocarditis, native valve
- Perform a detailed history and physical to detect a potential source and metastatic spread.
- Diagnostic and therapeutic considerations: most use Duke criteria (see endocarditis module), positive blood cultures documented.
- Remove or drain foci of infection whenever possible.
- Obtain brain and CNS vessel imaging if neurologic symptoms or persistent headache are present.
- Consult cardiac surgery if the patient has persistently positive blood cultures, evidence of heart failure or ongoing embolic disease.
- Evaluation is especially recommended if vegetation > 10mm, new heart block, worsening heart failure, or persistent fevers.
- Obtain MRI with contrast spinal imaging if back pain is present to assess for discitis, vertebral osteomyelitis or epidural abscess.
- Echocardiography recommended, TTE as initial with TEE if moderate to high clinical suspicion, and difficult TTE imaging of prosthetic valves.
- Treatment: per 2015 AHA guidelines
- General notes:
- Gentamicin: no longer recommended for native valve endocarditis (right- or left-sided, MSSA or MRSA).
- The utility of combination, empiric therapy (e.g., vancomycin + cefazolin) is not well evidenced.
- Endocarditis caused by PCN-susceptible isolates should still be treated with antistaphylococcal abx (nafcillin, oxacillin, cefazolin) since many labs are not able to detect PCN susceptibility.
- Clindamycin is not recommended due to the increased risk of relapse.
- Routine use of rifampin is not recommended due to observations of worsened outcomes with combination therapy.
- MSSA, native valve, left-sided:
- Preferred:
- Alternatives:
- If highly penicillin-allergic: consider allergy consultation or desensitization, as beta-lactam therapy is preferred. If a history of rash or minor reactions, use cefazolin
- Vancomycin 15 mg/kg IV q 8-12h
- Vancomycin trough ~ 15 υg/mL
- Daptomycin 8-10 mg/kg IV q 24h
- Dosing is higher than the FDA-approved 6 mg/kg.
- If a brain abscess is present, nafcillin or oxacillin is favored rather than cefazolin (which has poor CNS penetration).
- MSSA, native valve, right-sided involvement ONLY: pt w/o AIDS, vascular prosthesis or embolic disease other than septic pulmonary emboli.
- Preferred: oxacillin or nafcillin 2g IV q4h
- Alternative: daptomycin 6 mg/kg IV q 24
- Duration: 2 wks
- The use of synergistic gentamicin is no longer recommended for short-course therapy as no impact on outcomes and is associated with nephrotoxicity.
- Alternate oral regimen: only for IDU, TV MSSA endocarditis.
- Ciprofloxacin 750 mg PO twice daily PLUS rifampin 300 mg PO twice daily for 28 days, if isolate proven susceptible to both agents.
- Many experts state that though this is a well-studied regimen, concern for the emergence of FQ-resistance deems this a problematic choice.
- Alternatively, if life-threatening penicillin allergy:
- Desensitize to oxacillin/nafcillin (preferred)
- Daptomycin
- Vancomycin 15 mg/kg IV q12h (not preferred)
- MRSA, native valve, right- or left-sided involvement:
- Preferred: vancomycin 15 mg/kg IV q12h
- Alternative: daptomycin ≥ 8 mg/kg IV daily
- Some experts recommend higher doses: 10-12 mg/kg daily.
- Duration: 6 wks, consider longer if complicated infection (osteomyelitis, etc.)
- General notes:
Oral therapy for SAB
- SABATO trial: for uncomplicated SAB. Very restrictive trial with multiple exclusions, leaving a rarefied group for consideration, but appeared non-inferior to a full parenteral therapy course[6]. Only ∼4.2% of approx. 5,063 screened patients were eligible.
- Appropriate criteria for consideration, per trial entry: both MSSA and MRSA included, but few MRSA overall.
- Adults with Staphylococcus aureus bacteremia (SAB).
- Completed 5 to 7 full days of adequate intravenous (IV) antibiotic therapy.
- No evidence of complicated SAB, defined by the absence of:
- Deep‑seated infection (e.g., osteomyelitis, abscess),
- Hematogenous dissemination (e.g., endocarditis),
- Septic shock,
- Prolonged or persistent bacteremia.
- No polymicrobial bloodstream infection.
- No non‑removable foreign devices (e.g., prosthetic valves, indwelling prostheses).
- No severe comorbidity or immunosuppressive state—e.g., end-stage renal disease, severe immunosuppression
- Treatment:
- Parenteral therapy: 5-7d IV initial
- Oral: to complete a total of 14 days (including both IV and oral), oral choices based on susceptibility, examples:
- Linezolid: 600 mg every 12 hours
- Dicloxacillin or Flucloxacillin (if susceptible): 250-500 mg every 6 hours
- Trimethoprim-sulfamethoxazole (if susceptible): 1-2 tablets (160 mg trimethoprim / 800 mg sulfamethoxazole) twice daily
- Appropriate criteria for consideration, per trial entry: both MSSA and MRSA included, but few MRSA overall.
Endocarditis, prosthetic valve
- TEE is recommended for all cases of PVE to evaluate for significant perivalvular abscess, leak, or involvement of other valves.
- FDG-PET may be helpful in complex situations, Ao-grafts, and the presence of concomitant cardiac devices.
- Early evaluation for potential valve replacement is suggested.
- See diagnostic and therapeutic considerations listed above, along with the PVE module for additional details.
- MSSA, prosthetic valve:
- Oxacillin or nafcillin 2g IV q4h for ≥ 6 weeks PLUS gentamicin 1 mg/kg IV q8h (or 1.5 mg IV q 12h) for 1st 2 weeks PLUS rifampin 300 mg PO q8h for ≥ 6 weeks after blood cultures have cleared; confirm susceptibility to all agents.
- MRSA, prosthetic valve:
- Vancomycin 15 mg/kg IV q12h for ≥ 6 weeks PLUS gentamicin 1 mg/kg IV q8h (or 1.5 mg IV q12 h) for 1st 2 weeks PLUS rifampin 300 mg PO q8h for ≥ 6 weeks after blood cultures have cleared; confirm susceptibility to all agents.
Salvage therapy
- Always consider unknown sources if persistently bacteremic, such as endocarditis, other endovascular sources, or epidural abscess.
- If conventional evaluation by CT or MRI imaging is unhelpful, FDG-PET may help localize (especially for prosthetic valve infection[27]).
- Little quality evidence to guide and judge the effectiveness of such switching to combination therapies. Available studies are a mix of in vitro and observational data. Drugs are often used in combination although reports of monotherapy working in such situations are also documented.
- Preferred: assuming daptomycin susceptibility.
- TMP/SMX 10-15 mg/kg TMP + daptomycin8-10 mg/kg IV q 24
- Daptomycin 8-10 mg/kg IV q 24h + ceftaroline 600 mg IV q8h or ceftobiprole 667 IV q6h.
- Ceftaroline 600 mg IV q8h (in combination with other agent below)
- Other regimens:
- Linezolid
- Not successful as reported in left-sided endocarditis, monotherapy.
- Telavancin
- TMP/SMX 10-15 mg/kg TMP
- Imipenem + fosfomycin IV
- Linezolid
- Preferred: assuming daptomycin susceptibility.
Soft tissue infections
- Surgical drainage for any collection. For a cutaneous abscess, I&D may be sufficient.
- For non-purulent cellulitis, this is usually due to β-hemolytic streptococci rather than S. aureus.
- Antibiotics indicated for severe/rapidly progressive infections, signs and symptoms of systemic illness, diabetes or other significant immunosuppression, advanced age, location of abscess in an area where complete drainage is difficult, lack of response to initial I&D (also assess for the need for additional I&D, surgical consultation for necrotizing fasciitis), and extensive abscess-associated cellulitis.
- If antibiotics are employed, obtaining cultures is recommended to help guide therapy.
- Treatment:
- Parenteral: IV antibiotics are generally not needed unless severe infection, concomitant bacteremia or systemic toxicity.
- If using parenteral abx, empiric choices include coverage for both MRSA and MSSA
- Vancomycin 15mg/kg IV q12h
- Daptomycin dose is 4mg/kg IV daily
- Clindamycin 600 mg IV q 8h
- Ceftaroline 600 mg IV q12h
- Linezolid 600 mg IV q12h
- Tedizolid 200 mg IV q24h
- TMP/SMX 8-12 mg/kg (based on TMP) divided dosing q 6h IV
- Long-acting agents:
- If MSSA
- Nafcillin 1-2 g IV q4h
- Oxacillin 1-2 g IV q4h
- Cefazolin 1 g IV q8h
- Clindamycin 600 mg IV q8h
- If using parenteral abx, empiric choices include coverage for both MRSA and MSSA
- Oral regimens:
- MSSA:
- Cephalexin 500mg PO four times a day
- Dicloxacillin 500mg PO four times a day
- Clindamycin 300-450mg PO three times a day
- Doxycycline 100 mg PO twice daily
- Amoxicillin/clavulanate 875mg PO twice daily
- MRSA: check susceptibilities, TMP/SMX, and tetracyclines are most likely susceptible.
- Clindamycin 300-450mg PO three times a day
- TMP/SMX 1-2 DS tabs PO twice daily
- Doxycycline 100mg PO twice daily
- Minocycline 100mg PO twice daily
- Linezolid 600mg PO twice daily
- MSSA:
- Duration of therapy: depends on the extent of disease, usually ranging from 5 to 10 days.
- Parenteral: IV antibiotics are generally not needed unless severe infection, concomitant bacteremia or systemic toxicity.
- Recurrent soft tissue infections: education regarding hand hygiene and personal hygiene (e.g., regular bathing, no sharing of personal items, clean personal sporting equipment, and avoiding shaving).
- Clean high-touch areas in contact with bare skin (e.g., counters, sinks, doorknobs, tubs, toilet seats, etc) with commercial cleaners or dilute bleach.
- Indications for decolonization include recurrent infection despite optimal hygiene or household transmission. Evaluate contacts for evidence of S. aureus infection. Routine screening cultures of the nares are not recommended.
- Consider decolonization for recurrent soft tissue infections: potential approaches include (both index patient ± contacts/household)
- Mupirocin 2% ointment to the nares twice daily for 5-10 days. Some repeat for a period of months, e.g, the first five days of each month.
- Mupirocin 2% as above + chlorhexidine (Hibiclens) washes daily for 5-14d or dilute bleach bath (1 tsp/gallon, ¼ cup per 13 gallons) twice weekly x ~3 months.
- Oral antibiotics are not usually recommended. Some use of the above measures fails. Typically, choose one drug from the oral MRSA regimen above plus rifampin (e.g., doxycycline 100mg twice daily + rifampin 600mg daily x 7-10d).
- Some clinicians add rifampin to oral agents for MRSA for patients with recurrent soft tissue infections; rifampin should NEVER be used as monotherapy; the efficacy of this strategy is unproven, and rifampin is associated with significant drug interactions, so we do not recommend it in most cases.
Pneumonia
- Consider MRSA pneumonia in any patient with severe CAP (e.g., ICU admission, necrotizing/cavitary disease, empyema) pending sputum or blood culture results.
- Treatment: use susceptibilities to guide the final choice.
- Linezolid may have better PK/PD data in lungs compared to vancomycin; the study shows better initial clinical success than vancomycin, but similar 60-day mortality[28].
- Vancomycin 15mg/kg IV q12h
- Linezolid 600mg IV/PO q12h
- Clindamycin 600mg IV or 300-450mg PO q8h
- Telavancin 10 mg/kg IV q24h
- Linezolid may have better PK/PD data in lungs compared to vancomycin; the study shows better initial clinical success than vancomycin, but similar 60-day mortality[28].
- Daptomycin cannot be used for pulmonary infections because it is inactivated by surfactant.
- Drain or proceed with thoracic surgical consultation for empyema.
- Duration of therapy: 7- to 21-day course, depending on severity; many cases of ventilator-associated pneumonia can be treated for 8 days; necrotizing pneumonia usually requires longer courses ≥ 14 days; bacteremic pneumonia, at least 14 days.
Bone/joint infections
- Osteomyelitis (OM)
- MRI with gadolinium is often the best study to employ to diagnose infection in vertebral bones, discs or feet. CT or if plain films are positive, sufficient for larger bones.
- Drainage and debridement of devitalized bone should be done if possible.
- No clear data to suggest a preference regarding the parenteral or oral route of antibiotics. The European OVIVA trial suggested non-inferiority with the use of 1 week IV then oral antibiotics compared to all parenteral; however, there were few MRSA infections in this study.
- Treatment:
- MSSA:
- Preferred:
- Nafcillin 1.5-2 g IV q4-6h or continuous infusion
- Oxacillin 1.5-2 g IV q4-6h or continuous infusion
- Cefazolin 1-2 g IV q8h
- Ceftriaxone 2 g IV q24
- Alternatives:
- Vancomycin 15-20 mg/kg IV q12h
- Daptomycin 6-8 mg IV q 24
- Linezolid 600 mg IV/PO q 12h
- Levofloxacin 500-750 PO daily + rifampin 600 mg PO daily
- Clindamycin 600-900 mg IV q8h
- Preferred:
- MRSA:
- Preferred
- Vancomycin 15-20 mg/kg IV q12h
- Alternatives:
- Daptomycin 6-8 mg/kg IV q 24h
- TMP/SMX 4mg/kg (TMP component) twice daily ± rifampin 600mg once daily
- Linezolid 600mg PO/IV q 12h
- Clindamycin 600mg IV q8h
- Levofloxacin 500-750 PO daily + rifampin 600 mg PO daily
- Preferred
- MSSA:
- Some add rifampin to any of the above dosings as 600mg once daily or 300-450mg PO twice daily. If the patient is bacteremic, only add rifampin after bacteremia clears to avoid the emergence of resistance.
- Potential oral approaches include monotherapy using TMP/SMX, doxycycline, minocycline, clindamycin OR combination levofloxacin or moxifloxacin with rifampin.
- Duration: unclear, best course, many choose 6-8 weeks, the IDSA vertebral osteomyelitis guideline suggests 6 wks.
- Some patients may require additional treatment for 4-12 weeks, particularly if OM is of a long-standing nature or if complete debridement is not achieved. ESRD patients or those with hardware may also require consideration of suppressive therapy.
- ESR/CRP may be used to follow the response.
- Septic arthritis
- Always drain or debride the joint.
- Repeat closed drainage as needed or open drainage, no clear preference.
- Consult orthopedics for open drainage
- Treatment: select from the MSSA or MRSA choices as above.
- Duration: 4-6 wks
- Always drain or debride the joint.
- Prosthetic joint infection: see the module for additional details.
- Early (< 2 mos post-op) or acute hematogenous infection with stable joint < 3wks symptoms:
- Debride/washout joint and retain.
- Select abx guided by susceptibilities, from OM choices above + rifampin 600mg or 300-450mg PO twice daily x 2-6 wks.
- Followed by TMP/SMX, fluoroquinolone, tetracycline or clindamycin + rifampin x 3-6 months.
- Late (> 2 mos post-op): or if unstable, later-onset infection or > 3wks symptoms--remove hardware and administer abx as above.
- One-stage or two-stage procedure. See PJI module for details.
- Duration: 6 wks (or until inflammatory markers normalize), may consider suppressive therapy.
- Early (< 2 mos post-op) or acute hematogenous infection with stable joint < 3wks symptoms:
CNS
- Meningitis: healthcare-associated[1] or community-acquired
- MSSA: nafcillin or oxacillin 2g IV q4h.Meningitis=
- MRSA:
- Preferred: vancomycin 15-20 mg/kg IV 12h (consider loading dose; guidelines recommend 25-30 mg/kg, although we favor 20-25 mg/kg, particularly in patients with any baseline renal dysfunction). Strive for trough level ~20 µg/mL.
- Alternatives:
- Linezolid 600mg IV q12h (limited data for meningitis, but has good CNS penetration).
- TMP/SMX 5mg/kg (trimethoprim component) q8-12h.
- Some add rifampin 600mg PO/IV q24 or 300-450mg IV/PO q12h.
- Refractory infection: consider intrathecal vancomycin, 5-20mg daily.
- Duration: 10-14 days from first negative CSF culture.
- CNS shunt infection[1]: remove the device. Replace only when CSF cultures are sterile.
- Duration: 10-14 days
- Brain abscess, subdural empyema, epidural abscess:
- Consult neurosurgery urgently for drainage.
- MSSA or MRSA: choices as above
- Would not use cefazolin for MSSA given poor CNS penetration.
- Duration: 4-6 wks
Toxic shock syndrome
- See Staphylococcal TSS module for details.
- Remove focus of staphylococcal colonization or infection.
- Stabilize blood pressure with aggressive hydration +/- pressors.
- MSSA: oxacillin or nafcillin 2g IV q4h PLUS clindamycin 600mg IV q8h.
- MRSA: vancomycin 15-20 mg/kg IV q12h PLUS clindamycin 600mg IV q8h (if susceptible) or linezolid 600 mg IV/PO q12h.
- Some consider intravenous immunoglobulin infusions, although limited data are available, which are most supportive for streptococcal TSS.
Selected Drug Comments
Drug | Recommendation |
Good activity against MSSA and other Gram+ organisms (not MRSA). Useful for skin and skin structure infections when some Gram-negative and anaerobic coverage is also desirable (bite, mixed abscess). Not recommended for S. aureus bacteremia or endocarditis. | |
Good activity against MSSA and other Gram+ organisms (not MRSA). Useful for skin and skin structure infections when some Gram-negative and anaerobic coverage is also desirable (bite, mixed abscess). Not usually recommended for S. aureus bacteremia or endocarditis. | |
A first-generation cephalosporin antibiotic with excellent general Gram+ activity except for enterococci and MRSA. A practical alternative for S. aureus endocarditis or bacteremia therapy if source control is achieved/bacteremia clears with other agents first (and CNS involvement is not suspected as only 1-4% penetration into CSF) | |
Ceftobiprole | Cephalosporin with MRSA activity and notably gram-negative coverage, including Pseudomonas aeruginosa. Found to be non-inferior to daptomycin for staphylococcal bacteremia and has an FDA indication for such. |
An alternative choice for skin and skin structure infections due to S. aureus, though MRSA susceptibilities to clindamycin vary, but can be as low as < 70%. Erythromycin resistance predicts inducible clindamycin resistance in many isolates; thus, the microbiology lab should perform a D-test to assess for clindamycin susceptibility. Excellent oral absorption, although GI intolerance (including C. difficile) is more likely with higher doses. Not recommended for S. aureus bacteremia or endocarditis. | |
A good choice for skin and skin structure infections due to S. aureus, particularly MRSA; less but probably adequate anti-streptococcal activity. Has the best in vitro Gram+ activity of the tetracyclines. Side effects include photosensitivity, reversible vestibular dysfunction, and blue skin discoloration. Often used for long-term suppressive therapy in orthopedic infections, sometimes in combination with rifampin. Not recommended for S. aureus bacteremia or endocarditis. | |
Well-established agent for serious systemic S. aureus infections (not MRSA). No dose adjustment for renal failure. The main toxicity is neutropenia. The agent is administered intravenously q4h or by a pump for home therapy. Compared to oxacillin, it has less liver and renal toxicity. | |
Well-established agent for serious systemic S. aureus infections (not MRSA). No dose adjustment for renal failure. The main toxicity is the elevation of hepatic enzymes, but may also cause acute interstitial nephritis, especially with longer durations . The agent is administered intravenously q4h or by a pump for home therapy. | |
Activity against MSSA and other Gram+ organisms (not MRSA) as well as most Gram (-) organisms. Useful for broad-spectrum empiric therapy when MSSA, streptococcus, enterococcus, Gram (-), and anaerobic coverage is desirable. Not generally recommended for S. aureus bacteremia or endocarditis due to lack of robust clinical data, but probably would work if not expressing BlaC. [J Antimicrob Chemo 1993; Suppl A 97-104, bacteremia 15/17 cured, 2 failures ascribed to lack of source control] [11]. | |
A combination streptogramin antibiotic is active against MRSA and Vancomycin-resistant Enterococcus faecium. E. faecalis is intrinsically resistant. Not FDA approved for S. aureus bacteremia. The medication must be given IV via a central line because of phlebitis risk. Other side effects are severe arthralgia and myalgia. Has a variety of drug-drug interactions mediated via the cytochrome P450 system. Because of these issues, it has largely fallen out of use for staphylococcal infections. No dose adjustment is required for renal or hepatic insufficiency. | |
Excellent bactericidal agent against S. aureus, but SHOULD NEVER BE USED AS MONOTHERAPY because of the rapid development of resistance. Can be used in combination with fluoroquinolones, TMP/SMX, clindamycin, or minocycline after a course of appropriate IV therapy for complicated bone and joint infections requiring long-term therapy/suppression. Also used as part of a combination therapy for PVE. No robust studies have proven a beneficial role independently, and some have suggested that use equates with poorer outcomes. | |
A good choice for skin and skin structure infections due to S. aureus, particularly MRSA; less robust but likely adequate anti-streptococcal activity. Use compared to vancomycin has been studied in a cohort of injection drug users with MSSA and MRSA infections with good clinical results, particularly with MRSA. Not usually recommended for S. aureus bacteremia or endocarditis except in salvage situations in conjunction with infectious diseases consultation. A recent study of severe S. aureus infection suggested TMP-SMX was not inferior, and those receiving it had higher mortality compared to vancomycin. Some studies support the treatment of bacteremia, and if so, would use higher dosing (5mg q 8, trimethoprim)[41]. | |
| |
| |
| |
A good choice for skin and skin structure infections due to S. aureus, particularly MRSA, but has poor anti-streptococcal activity. Side effects include photosensitivity (patients should be warned to avoid the sun). Often used for long-term suppressive therapy in orthopedic infections, sometimes in combination with rifampin. Not recommended for S. aureus bacteremia or endocarditis. | |
FDA approved for skin and soft tissue infections. Low serum levels make this a drug not typically employed for bacteremia. An FDA warning was issued based on a review of clinical trials, which warned of increased mortality with its use. | |
| |
New-generation cephalosporin with MRSA activity as well as Gram-negative spectrum similar to ceftriaxone. FDA approved for CAP and SSTIs, but some clinicians use it off-label with success in the treatment of difficult or salvage MRSA infections, including persistent bacteremia (typically dosed 600mg IV q 8 +/- another agent [e.g., TMP/SMX] in salvage situations). | |
Oral and parenteral oxazolidinone is FDA-approved for short-course therapy (6d) for skin and skin structure infections. The utility for bacteremia or other Gram-positive infections is unclear, but it has activity against both MSSA and MRSA. Would consider higher dosing, 400 mg daily, for serious infections if used. The drug has a much lower risk of potential induction of serotonin syndrome compared to linezolid. | |
Long-acting glycopeptide parenteral, FDA-approved for skin and soft tissue infections. Increasing data suggest that it works in patients with complicated SAB with source control (but not left-sided endocarditis), with comparable efficacy (~70%) compared to the standard of care. The drug has a long tail, which concerns some investigators because resistance can develop as low levels of the drug may be present for weeks. | |
Long-acting glycopeptide parenteral, FDA-approved for skin and soft tissue infections. No data regarding use for bacteremia or other causes. Infusion time of 3h makes this a more logistically challenging antibiotic in the outpatient arena. | |
Long-acting third-generation cephalosporins have activity against MSSA; the CLSI suggests using oxacillin as a surrogate, so it is not assessed separately in most commercial testing systems. However, when CTX is checked, MICs against MSSA often tend to run 2-4 μg/mL, which may be an issue with once-daily dosing. One may still exercise caution when using 2g q 24h dosing, which EUCAST does not recommend in this fashion. If elected to use, would use 2g q12 therapy. Two studies (Paul Clin Micro 2011; Buis Antimicrob Chemotherap 2023) suggest increased mortality when the drug is used. Other studies did not find higher failure rates, so mixed data exist. Would only consider if the patient is very stable with resolution of symptoms, and has achieved source control if feasible. Credit to Sara Cosgrove, MD, for this analysis. | |
Similar to ceftaroline, it has activity against MRSA but exhibits broader activity, including Gram-negative bacteria (GNs), as well as some Pseudomonas aeruginosa and E. faecalis (unusual for cephalosporins). The ERADICATE study compared it to daptomycin (24% MRSA) in patients with mostly SSTIs and right-sided endocarditis (6.5%), but no left-sided endocarditis. Interestingly, participants were treated for only 3 weeks in this study, instead of the customary 4 weeks. Similar cure rates are seen. FDA approved for SAB and endocarditis. |
FOLLOW UP
- For patients with bacteremia or endocarditis, follow-up blood cultures should be obtained to document clearance of bacteremia while on therapy.
- Mortality has been described as ranging from 20% to 40%, with MRSA usually higher than MSSA bacteremia.
- Endocarditis treatment failure or persistent bacteremia:
- Always search for a focus of infection or removal of any devices.
- Leading concerns:
- Presence of prosthetic valve: valve ring infection/abscess
- Back pain: vertebral osteomyelitis, discitis and/or epidural abscess
- Mycotic aneurysm: usually aortic.
- Typical risk factors: elderly, smoking, atherosclerotic disease
- Leading concerns:
- Salvage regimens are not well studied, but options include both changing therapy and using combination therapy.
- Use susceptibilities to guide, see section above.
- If the organism has reduced susceptibility to daptomycin or vancomycin, consider the use of the following agents in combination.
- TMP/SMX 5mg/kg q 8-12h
- Linezolid 600mg q12h
- Telavancin 10mg/kg IV once daily
- Ceftaroline 600mg IV q8h
- Ceftobiprole 667 mg IV q6h
- If the organism has reduced susceptibility to daptomycin or vancomycin, consider the use of the following agents in combination.
- Use susceptibilities to guide, see section above.
- Always search for a focus of infection or removal of any devices.
- For patients with serious S. aureus infections treated with vancomycin, trough levels should be 15-20 mcg/ml (20 mcg/ml for CNS infection and severe pneumonia).
OTHER INFORMATION
- Mortality associated with S. aureus bacteremia is 20-40%.
- S. aureus bacteremia is associated with heart valve involvement in 25% when studied with transesophageal echo (TEE). Clinicians must rule out endocarditis before treating S. aureus bacteremia with a short (i.e., 2 weeks) course of antibiotics.
- All patients with S. aureus bacteremia should undergo at least a good-quality transthoracic echo (TTE). TEE is preferred for patients with prosthetic valves or with inadequate TTE.
- Be alert for the development of metastatic abscess formation with any S. aureus bacteremia. S. aureus in urine cx should alert to the possibility of associated bacteremia.
- Patients with MRSA colonization or infection should be placed on contact precautions.
Basis for recommendation
- Tunkel AR, Hasbun R, Bhimraj A, et al. 2017 Infectious Diseases Society of America's Clinical Practice Guidelines for Healthcare-Associated Ventriculitis and Meningitis. Clin Infect Dis. 2017;64(6):e34-e65. [PMID:28203777]
Comment: Provides meningitis and CNS shunt infection guidance (all low-quality evidence) for choices and duration with S aureus.
- Berbari EF, Kanj SS, Kowalski TJ, et al. Executive Summary: 2015 Infectious Diseases Society of America (IDSA) Clinical Practice Guidelines for the Diagnosis and Treatment of Native Vertebral Osteomyelitis in Adults. Clin Infect Dis. 2015;61(6):859-63. [PMID:26316526]
Comment: Guidance document suggesting 6 weeks of parenteral or highly bioavailable oral therapy for native (no hardware) vertebral osteomyelitis. First-line choices for MSSA, recs include nafcillin, oxacillin, cefazolin or ceftriaxone; for MRSA, vancomycin or daptomycin.
- Baddour LM, Wilson WR, Bayer AS, et al. Infective Endocarditis in Adults: Diagnosis, Antimicrobial Therapy, and Management of Complications: A Scientific Statement for Healthcare Professionals From the American Heart Association. Circulation. 2015;132(15):1435-86. [PMID:26373316]
Comment: Most recent guidelines addressing S. aureus endocarditis.
- Stevens DL, Bisno AL, Chambers HF, et al. Practice guidelines for the diagnosis and management of skin and soft tissue infections: 2014 update by the infectious diseases society of America. Clin Infect Dis. 2014;59(2):147-59. [PMID:24947530]
Comment: The latest set of guidelines from the Infectious Diseases Society of America incorporates recommendations for MRSA infections.
References
- Mourad A, Nwafo N, Skalla L, et al. Oral Versus Intravenous Antibiotic Therapy for Staphylococcus aureus Bacteremia or Endocarditis: A Systematic Review and Meta-Analysis of Randomized, Controlled Trials. Clin Infect Dis. 2025;80(1):29-36. [PMID:39290168]
Comment: Only 4 RCTs met inclusion criteria, but there was not difference in treatment failure or ADRs between parenteral and oral approaches. Authors note that confidence intervals were wide and the studies were quite heterogeneous to draw solid conclusions without more studies, but that, likely, in carefully selected patients, this is an option.
- Kaasch AJ, López-Cortés LE, Rodríguez-Baño J, et al. Efficacy and safety of an early oral switch in low-risk Staphylococcus aureus bloodstream infection (SABATO): an international, open-label, parallel-group, randomised, controlled, non-inferiority trial. Lancet Infect Dis. 2024;24(5):523-534. [PMID:38244557]
Comment: RCT non-inferiority trial that explored early switch to oral therapy for SAB, limited by open-label design. A key important concept is how rare it is to truly find a low-risk patient with SAB (early clearance, no complications, endocarditis, etc), which is reinforced by the high screening to inclusion ratio. That said, for the eligible patient, it appears to be effective and comparable to all parenteral therapies, albeit that the oral arm had high rates of adverse reactions. Still, obviously, the hospitalization time was shorter in that arm.
- Holland TL, Cosgrove SE, Doernberg SB, et al. Ceftobiprole for Treatment of Complicated Staphylococcus aureus Bacteremia. N Engl J Med. 2023;389(15):1390-1401. [PMID:37754204]
Comment: Only the second RCT for SAB as a comparator trial of IV therapies, with the first being daptomycin. Here, ceftobiprole was compared to daptomycin in a non-inferiority trial. A total of 132 of 189 patients (69.8%) in the ceftobiprole group and 136 of 198 patients (68.7%) in the daptomycin group had overall treatment success (adjusted difference, 2.0 percentage points; 95% confidence interval [CI], -7.1 to 11.1). So it appeared comparable for efficacy, and also true for ADRs.
- Ajaka L, Heil E, Schmalzle S. Dalbavancin in the Treatment of Bacteremia and Endocarditis in People with Barriers to Standard Care. Antibiotics (Basel). 2020;9(10). [PMID:33076275]
Comment: A small series looking at the use of this long-acting lipoglycopeptide antibiotic in 18 patients. Reasons for use were listed as active injection drug use (50%), inability to arrange standard OPAT due to patient adherence or failure to place in skilled nursing facility (SNF) (22%), risk for additional infections or other morbidity with OPAT (22%), and patient preference (6%). At 90 days, eight patients (44%) achieved a clinical or biologic cure, six (33%) failed treatment, and four (22%) were lost to follow-up. Unclear if this is drug failure or host/infection/source control issues in this population.
- Rybak MJ, Le J, Lodise TP, et al. Therapeutic Monitoring of Vancomycin for Serious Methicillin-resistant Staphylococcus aureus Infections: A Revised Consensus Guideline and Review by the American Society of Health-system Pharmacists, the Infectious Diseases Society of America, the Pediatric Infectious Diseases Society, and the Society of Infectious Diseases Pharmacists. Clin Infect Dis. 2020;71(6):1361-1364. [PMID:32658968]
Comment: A controversial updating of the 2009 vancomycin guideline that used vancomycin trough monitoring as a surrogate for AUC/MIC. The main issue is employing the AUC/MIC curve over 24h, such that these consensus guidelines recommend a ratio of 400-600 mg*hr/L (with the assumption of a MIC of 1 mg/L) to foster clinical efficacy and safety for the treatment of MRSA.
- Tong SYC, Lye DC, Yahav D, et al. Effect of Vancomycin or Daptomycin With vs Without an Antistaphylococcal β-Lactam on Mortality, Bacteremia, Relapse, or Treatment Failure in Patients With MRSA Bacteremia: A Randomized Clinical Trial. JAMA. 2020;323(6):527-537. [PMID:32044943]
Comment: Adding a beta-lactam did not improve outcomes in this open-label RCT.
- Song KH, Jung SI, Lee S, et al. Inoculum effect of methicillin-susceptible Staphylococcus aureus against broad-spectrum beta-lactam antibiotics. Eur J Clin Microbiol Infect Dis. 2019;38(1):67-74. [PMID:30269181]
Comment: Among 302 MSSA isolates in this South Korean study representing hospital isolates, 254 (84.1%) were positive for blaZ; types A, B, C, and D were 13.6%, 26.8%, 43.4% and 0.3%, respectively. Mean HI MICs of all tested antibiotics were significantly increased, and increases in HI MIC of piperacillin/tazobactam (HI, 48.14 ± 4.08 vs. SI, 2.04 ± 0.08 mg/L, p < 0.001) and ampicillin/sulbactam (HI, 24.15 ± 1.27 vs. SI, 2.79 ± 0.11 mg/L, p < 0.001) were most prominent. No MSSA isolates exhibited meropenem InE, and few isolates exhibited cefepime (0.3%) and ceftriaxone (2.3%) InE, whereas 43.0% and 65.9% of MSSA isolates exhibited piperacillin/tazobactam and ampicillin/sulbactam InE, respectively. About 93% of type C blaZ versus 45% of non-type C exhibited ampicillin/sulbactam InE (p < 0.001) and 88% of type C blaZ versus 9% of non-type C exhibited piperacillin/tazobactam InE (p < 0.001). A large proportion of MSSA clinical isolates, especially those positive for type C blaZ, showed marked ampicillin/sulbactam InE and piperacillin/tazobactam.
- Rieg S, von Cube M, Kaasch AJ, et al. Investigating the Impact of Early Valve Surgery on Survival in Staphylococcus aureus Infective Endocarditis Using a Marginal Structural Model Approach: Results of a Large, Prospectively Evaluated Cohort. Clin Infect Dis. 2019;69(3):487-494. [PMID:30346527]
Comment: Although early valve surgery is advocated by many, this series did not find a significant benefit.
- Huang SS, Singh R, McKinnell JA, et al. Decolonization to Reduce Postdischarge Infection Risk among MRSA Carriers. N Engl J Med. 2019;380(7):638-650. [PMID:30763195]
Comment: Eradication leads to a 30% reduction in MRSA infection using chlorhexidine washes and nasal mupirocin for 5 days per month x 6 months. An intensive regimen that may be less effective in the real world.
- Iversen K, Ihlemann N, Gill SU, et al. Partial Oral versus Intravenous Antibiotic Treatment of Endocarditis. N Engl J Med. 2019;380(5):415-424. [PMID:30152252]
Comment: The POET study explored converting to oral therapy to complete six weeks of therapy in stable patients with left-sided endocarditis. All patients in the oral arm received at least 10d of IV therapy. Non-inferiority was demonstrated with the primary outcome, all-cause mortality/unplanned cardiac surgery, emboli or relapse of bacteremia. The primary composite outcome occurred in 24 patients (12.1%) in the intravenously treated group and in 18 (9.0%) in the orally treated group (between-group difference, 3.1 percentage points; 95% confidence interval, -3.4 to 9.6; P=0.40), which met noninferiority criteria.
- Li HK, Rombach I, Zambellas R, et al. Oral versus Intravenous Antibiotics for Bone and Joint Infection. N Engl J Med. 2019;380(5):425-436. [PMID:30699315]
Comment: Landmark OVIVA trial suggests non-inferiority with use of 1 wk IV then oral therapy for pathogens causing osteomyelitis or joint infections, including prosthetic, compared to all IV. Few MRSA infections were studied in this study from the UK. S. aureus accounted for 37.7% of all identified organisms in this 1054-patient study.
- Carr DR, Stiefel U, Bonomo RA, et al. A Comparison of Cefazolin Versus Ceftriaxone for the Treatment of Methicillin-Susceptible Staphylococcus aureus Bacteremia in a Tertiary Care VA Medical Center. Open Forum Infect Dis. 2018;5(5):ofy089. [PMID:30568987]
Comment: A small study from the VA; however, out of 71 patients, 38 received treatment with cefazolin and 33 with ceftriaxone. The overall rate of treatment failure was 40.8%, with significantly more failures among patients receiving ceftriaxone (54.5% versus 28.9%; P = .029). CTX is often used for convenience compared to more frequently dosed beta-lactams. This study gives some pause to the CTX-convenience approach.
- Nambiar K, Seifert H, Rieg S, et al. Survival following Staphylococcus aureus bloodstream infection: A prospective multinational cohort study assessing the impact of place of care. J Infect. 2018;77(6):516-525. [PMID:30179645]
Comment: Among different hospitals, mortality rates among the pooled 1851 patients with a median age of 66 years (64% male) were analyzed. Crude 90-day mortality differed significantly between hospitals (range 23-39%), which the authors attributed to many factors.
- Holland TL, Raad I, Boucher HW, et al. Effect of Algorithm-Based Therapy vs Usual Care on Clinical Success and Serious Adverse Events in Patients with Staphylococcal Bacteremia: A Randomized Clinical Trial. JAMA. 2018;320(12):1249-1258. [PMID:30264119]
Comment: Randomized trial of 509 adults with staphylococcal bacteremia, use of an algorithm compared with usual care resulted in a clinical success rate of 82.0% vs 81.5%, respectively--showing little difference and similar serious adverse events occurred in 32.5% vs 28.3% of patients, a difference that was not statistically significant but with wide confidence intervals. The trial used 14 +/- 2 days for the short course vs. 28-42 days for the complicated. The trial suggests that the algorithm can treat staphylococcal bacteremia if diagnostic and therapeutic recommendations are followed. An interesting sidebar is in the uncomplicated, short-course group, the failure rate was 25-30%.
- Daum RS, Miller LG, Immergluck L, et al. A Placebo-Controlled Trial of Antibiotics for Smaller Skin Abscesses. N Engl J Med. 2017;376(26):2545-2555. [PMID:28657870]
Comment: The trial suggests that the use of either clindamycin or TMP/SMX improves outcomes in patients with I&D, compared to I&D alone for abscesses that traditionally had only been drained.
- Talan DA, Mower WR, Krishnadasan A, et al. Trimethoprim-Sulfamethoxazole versus Placebo for Uncomplicated Skin Abscess. N Engl J Med. 2016;374(9):823-32. [PMID:26962903]
Comment: Somewhat surprising results from this study are in contrast to the "no antibiotic needed" dogma for uncomplicated, drained S aureus abscesses. Study suggested higher cure rates in 507 of 630 participants (80.5%) in the trimethoprim-sulfamethoxazole group versus 454 of 617 participants (73.6%) in the placebo group (difference, 6.9 percentage points; 95% confidence interval [CI], 2.1 to 11.7; P=0.005).
- Walters MS, Eggers P, Albrecht V, et al. Vancomycin-Resistant Staphylococcus aureus - Delaware, 2015. MMWR Morb Mortal Wkly Rep. 2015;64(37):1056. [PMID:26402026]
Comment: Reasons for the limited development of VRSA are unclear (compared to enterococci); however, only 14 isolates have been described since 2001. The last four have been from the state of Delaware.
- Paul M, Bishara J, Yahav D, et al. Trimethoprim-sulfamethoxazole versus vancomycin for severe infections caused by meticillin resistant Staphylococcus aureus: randomised controlled trial. BMJ. 2015;350:h2219. [PMID:25977146]
Comment: For those with severe infections, including bacteremia, especially, TMP/SMX did not achieve non-inferiority compared to vancomycin. Multivariable logistic regression showed that trimethoprim-sulfamethoxazole was significantly associated with treatment failure (adjusted odds ratio 2.00, 1.09 to 3.65). The 30-day mortality rate was 32/252 (13%), with no significant difference between arms. Among patients with bacteremia, 14/41 (34%) treated with trimethoprim-sulfamethoxazole and 9/50 (18%) with vancomycin died (risk ratio 1.90, 0.92 to 3.93).
- Miller LG, Daum RS, Creech CB, et al. Clindamycin versus trimethoprim-sulfamethoxazole for uncomplicated skin infections. N Engl J Med. 2015;372(12):1093-103. [PMID:25785967]
Comment: As TMP/SMX is often thought of as better staph than strep agent, this study found no difference between clindamycin or TMP/SMX in those with either abscess, cellulitis or mixed infection. This suggests that fretting about choices between cellulitic and abscess scenarios is not necessary for those with mild-moderate infections.
- del Río A, Gasch O, Moreno A, et al. Efficacy and safety of fosfomycin plus imipenem as rescue therapy for complicated bacteremia and endocarditis due to methicillin-resistant Staphylococcus aureus: a multicenter clinical trial. Clin Infect Dis. 2014;59(8):1105-12. [PMID:25048851]
Comment: Available in some European and other countries, this small study examined S aureus bacteremia or endocarditis and found that fosfomycin [2g IV q 6] + imipenem appeared to be helpful in those failing regimens, including vancomycin, daptomycin and others. The success rate was 69% for the 16 patients.
- Kaasch AJ, Barlow G, Edgeworth JD, et al. Staphylococcus aureus bloodstream infection: a pooled analysis of five prospective, observational studies. J Infect. 2014;68(3):242-51. [PMID:24247070]
Comment: Five cohorts of S. aureus bacteremia with adjusted HR mortality in this group of 3346, with 30-day mortality = 21%, 90-day mortality = 29%.
- Pallin DJ, Binder WD, Allen MB, et al. Clinical trial: comparative effectiveness of cephalexin plus trimethoprim-sulfamethoxazole versus cephalexin alone for treatment of uncomplicated cellulitis: a randomized controlled trial. Clin Infect Dis. 2013;56(12):1754-62. [PMID:23457080]
Comment: Interestingly, this trial did not suggest that adding an agent with activity against CA-MRSA (TMP/SMX) did not substantially improve outcomes [82% cephalexin alone, 85% combination]. This suggests that MRSA is not a typical driver of cellulitis in the absence of purulence.
- Vos FJ, Kullberg BJ, Sturm PD, et al. Metastatic infectious disease and clinical outcome in Staphylococcus aureus and Streptococcus species bacteremia. Medicine (Baltimore). 2012;91(2):86-94. [PMID:22391470]
Comment: A study of 115 patients with staph or strep bacteremia using FDG-PET/CT technology, looking for metastatic infections, found foci in 84 of 115 (73%) patients: endocarditis (22 cases), endovascular infections (19 cases), pulmonary abscesses (16 cases), and spondylodiscitis (11 cases) were diagnosed most frequently. Signs or symptoms directing a diagnostic work-up were only present in 41%, suggesting that additional studies may be helpful even in the absence of specific findings: for example, in this study, PET was the first to detect problems in 30%.
- Wunderink RG, Niederman MS, Kollef MH, et al. Linezolid in methicillin-resistant Staphylococcus aureus nosocomial pneumonia: a randomized, controlled study. Clin Infect Dis. 2012;54(5):621-9. [PMID:22247123]
Comment: A fairly large trial in a difficult-to-study condition. RCT examined linezolid (600 mg every 12 hours) or vancomycin (15 mg/kg every 12 hours) x 7-14d. Enrolled pts numbered 1184, 448 (linezolid, n = 224; vancomycin, n = 224) were included in the mITT and 348 (linezolid, n = 172; vancomycin, n = 176) in the PP population. In the PP population, 95 (57.6%) of 165 linezolid-treated patients and 81 (46.6%) of 174 vancomycin-treated patients achieved clinical success at EOS (95% confidence interval for difference, 0.5%-21.6%; P = .042). However, all-cause 60-day mortality was similar (linezolid, 15.7%; vancomycin, 17.0%), as was the incidence of adverse events. Nephrotoxicity occurred more frequently with vancomycin (18.2%; linezolid, 8.4%). This study suggests that the PK/PD elements favoring linezolid may, in fact, have clinical efficacy favorable over vancomycin, but the larger 60-day picture is not telling. For the very ill with the potential for added complications such as renal failure, linezolid may be the better option.
- van Hal SJ, Paterson DL, Gosbell IB. Emergence of daptomycin resistance following vancomycin-unresponsive Staphylococcus aureus bacteraemia in a daptomycin-naïve patient--a review of the literature. Eur J Clin Microbiol Infect Dis. 2011;30(5):603-10. [PMID:21191627]
Comment: One of many papers shows that daptomycin resistance may develop while on vancomycin therapy in patients with persistent bacteremia. It appears that the MRSA organisms may develop thicker cell walls, and hence be more resistant to daptomycin.
- Thwaites GE, Edgeworth JD, Gkrania-Klotsas E, et al. Clinical management of Staphylococcus aureus bacteraemia. Lancet Infect Dis. 2011;11(3):208-22. [PMID:21371655]
Comment: Important to note that only 16 studies with < 1500 patients in RCTs form a basis for guidance in this complicated infection. Authors rightly point out that many guideline recommendations are based on observational or limited case studies. Key questions that remain to be answered in their opinion include 1) How should SAB be defined?, 2) Is identification and removal of infection focus important? 3) Should all SAB pts have echocardiography? 4) Are glycopeptides equivalent to beta-lactams? 5) Are cephalosporins equivalent to penicillins? 6) Is teicoplanin as effective as vancomycin? 7) What is the optimum duration of treatment for SAB? 8) Is oral therapy equivalent to parenteral? 9) Is combination therapy better than monotherapy? 10) What is the role of linezolid, daptomycin and newer antimicrobials?
Rating: Important - Dhand A, Bayer AS, Pogliano J, et al. Use of antistaphylococcal beta-lactams to increase daptomycin activity in eradicating persistent bacteremia due to methicillin-resistant Staphylococcus aureus: role of enhanced daptomycin binding. Clin Infect Dis. 2011;53(2):158-63. [PMID:21690622]
Comment: Authors were able to clear persistent bacteremia in 7 patients with a combination of daptomycin and oxacillin or nafcillin (2g IV q4h). The mechanism is not entirely clear, but may be due to enhanced membrane binding of daptomycin in the presence of the beta-lactam.
- Liu C, Bayer A, Cosgrove SE, et al. Clinical practice guidelines by the infectious diseases society of america for the treatment of methicillin-resistant Staphylococcus aureus infections in adults and children: executive summary. Clin Infect Dis. 2011;52(3):285-92. [PMID:21217178]
Comment: Guidelines looking at the MRSA compendium of diseases with recommendations that also include vancomycin dosing recommendations.
- Simor AE. Staphylococcal decolonisation: an effective strategy for prevention of infection? Lancet Infect Dis. 2011;11(12):952-62. [PMID:22115070]
Comment: The best data regarding decolonization efficacy exists in pre-surgical patients and those on dialysis. Efficacy for decreasing CA-MRSA recurrent infections doesn’t yet exist in a robust fashion.
Rating: Important - Cosgrove SE, Vigliani GA, Fowler VG, et al. Initial low-dose gentamicin for Staphylococcus aureus bacteremia and endocarditis is nephrotoxic. Clin Infect Dis. 2009;48(6):713-21. [PMID:19207079]
Comment: Evidence for nephrotoxicity associated with short-course synergy dose gentamicin in the treatment of S. aureus bacteremia and endocarditis.
- Figueroa DA, Mangini E, Amodio-Groton M, et al. Safety of high-dose intravenous daptomycin treatment: three-year cumulative experience in a clinical program. Clin Infect Dis. 2009;49(2):177-80. [PMID:19500039]
Comment: A single-center study evaluating the safety of higher doses of daptomycin.
Rating: Important - Fowler VG, Boucher HW, Corey GR, et al. Daptomycin versus standard therapy for bacteremia and endocarditis caused by Staphylococcus aureus. N Engl J Med. 2006;355(7):653-65. [PMID:16914701]
Comment: A landmark ID publication demonstrates that daptomycin is not inferior to standard therapy in the treatment of S. aureus bacteremia and right-sided endocarditis. Unfortunately, few companies or other agencies will fund trials of this size and complexity for evaluating antibiotic treatment of endocarditis.
Rating: Important - von Eiff C, Becker K, Machka K, et al. Nasal carriage as a source of Staphylococcus aureus bacteremia. Study Group. N Engl J Med. 2001;344(1):11-6. [PMID:11136954]
Comment: A German study indicates that S. aureus bacteremia appears to frequently be caused by strains of S. aureus colonizing the patient’s own nasal mucosa. An accompanying editorial emphasizes the importance of attempting to eradicate this colonization in order to control nosocomial infections but highlights the failure of most currently used agents to achieve this goal (N Engl J Med 2001; 344: 55-57)
- Fowler VG, Li J, Corey GR, et al. Role of echocardiography in evaluation of patients with Staphylococcus aureus bacteremia: experience in 103 patients. J Am Coll Cardiol. 1997;30(4):1072-8. [PMID:9316542]
Comment: A study demonstrated the presence of endocarditis in 25% of patients with S. aureus bacteremia when evaluated with TEE.
Rating: Important - Heldman AW, Hartert TV, Ray SC, et al. Oral antibiotic treatment of right-sided staphylococcal endocarditis in injection drug users: prospective randomized comparison with parenteral therapy. Am J Med. 1996;101(1):68-76. [PMID:8686718]
Comment: A study comparing standard therapy for right-sided endocarditis to oral ciprofloxacin and rifampin for 4 weeks demonstrates the efficacy of the oral regimen. This JH-based study never received widespread adoption due to the concern that FQ-based treatment could lead to the quick emergence of resistance.
- DiNubile MJ. Short-course antibiotic therapy for right-sided endocarditis caused by Staphylococcus aureus in injection drug users. Ann Intern Med. 1994;121(11):873-6. [PMID:7978701]
Comment: A review of the option of shorter-course antibiotic therapy for right-sided heart infections in injection drug users.
- Markowitz N, Quinn EL, Saravolatz LD. Trimethoprim-sulfamethoxazole compared with vancomycin for the treatment of Staphylococcus aureus infection. Ann Intern Med. 1992;117(5):390-8. [PMID:1503330]
Comment: A study of 101 injection drug users with S. aureus infection, of whom 65% were bacteremic. The success rate for therapy of MRSA infections was equivalent for the TMP-SMX and vancomycin groups, although vancomycin was marginally more successful as a therapy in the non-MRSA group. The authors thus suggest that TMP-SMX may be a viable alternative to vancomycin for MRSA infection in this group of patients. Failures with TMP/SMX were seen only in the group with endocarditis, but not those with straight (or supposedly straight) bacteremia.
Rating: Important - Tranter HS. Foodborne staphylococcal illness. Lancet. 1990;336(8722):1044-6. [PMID:1977028]
Comment: A review of GI tract infections caused by ingestion of certain toxin-producing strains of S. aureus.
- Lee BK, Crossley K, Gerding DN. The association between Staphylococcus aureus bacteremia and bacteriuria. Am J Med. 1978;65(2):303-6. [PMID:686015]
Comment: The classic paper describes the presence of S. aureus bacteriuria in 27% of patients with S. aureus bacteremia in the absence of obvious renal infection.
Media
S. aureus
Typical Gram Positive appearance, often with organisms in grape-like clusters.
Source: CDC
Staphylococcal boil
Typical boil or furuncle (soft tissue abscess) draining pus which grew S. aureus.
Source: CDC

Johns Hopkins ABX Guide

