Listeria Monocytogenes
MICROBIOLOGY
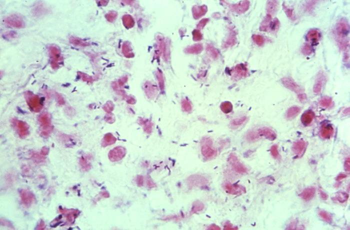
- Small Gram-positive rod, non-spore-forming [Fig 1].
- O and H antigens designate Listeria serotypes.
- Sero-types 1/2a, 1/2b, and 4b cause almost all human infections, and serotype 4b is associated with outbreaks.
- Isolated from environmental sources such as water, sewerage and foodstuffs.
- Outbreaks may be traced to pooling drain water or food processing surfaces that are subject to poor hygienic practices.
- Listeria possesses multiple characteristics that allow it to adapt to environmental stresses and survive disinfection:
- Ability to grow at various environmental conditions (e.g., temperatures as low as 2°C, NaCl concentration as high as 10%, pH of 4.5).
- Some strains are resistant to biocides.
- The organism can form a biofilm, which facilitates survival in the environment.
- It may grow on routine media such as blood agar. However, Meuller-Hinton or PALCAM (Columbia agar with 0.05% glucose made selective by the addition of 0.001% polymyxin B, 0.0005% acriflavin, 1.5% lithium chloride and 0.002% ceftazidime) agar are often used.
- β-hemolysis may be seen.
- Micro labs may occasionally confuse as a contaminant, reporting organisms as diphtheroids.
- Main human pathogen: Listeria monocytogenes.
- Other: L. ivanovii (rare)
- The ability to grow well at 4–10°C likely accounts for organisms surviving in refrigerated foods, leading to infection.
CLINICAL
- Two major clinical syndromes:
- Gastroenteritis: mild, non-invasive and generally self-limiting.
- Listeriosis: Severe, invasive illness with a mortality rate of ~20%. Typical manifestations include fetal loss in pregnant women, CNS disease, and bloodstream infections.
- Risk factors:
- Extremes of age (e.g., < 1 month and > 65 yrs)
- Pregnancy
- In the U.S., risk is especially high in Latin American women.
- Immunocompromised state (e.g., hematologic malignancy, HIV, organ transplant, corticosteroid use, immunosuppressants, chronic liver disease, ESRD, heavy alcohol, auto-immune disease)
- Risk factors:
- Most cases are NOT linked to outbreaks of listeriosis.
- Outbreaks: most common with ready-to-eat food:
- Examples include milk (especially unpasteurized), high-fat dairy products, soft cheeses (especially Latin-style soft cheeses), smoked fish, ready-to-eat shrimp and crab, hot dogs, deli-type salads and meats, fresh-cut fruits and vegetables and unwashed raw produce.
- Dx:
- Culture from a normally sterile site (CSF, blood, etc.).
- CSF PCR might be useful as an adjunct for the evaluation of CNS disease
- Stool culture: Low sensitivity, and ~5% of people may have + fecal carriage without infection.
- Not recommended for diagnosis
- Serologic testing: poor sensitivity and specificity.
- Not recommended for diagnosis of listeriosis in individual patients.
- Useful for epidemiological investigations, though increasingly, this is being done by genotyping.
- Imaging: no findings are specific for neurolisteriosis.
- CNS: CT w/ contrast or MRI w/ contrast may show ring-enhancing lesions that typically represent brain abscesses.
- Radiologic evidence of rhombencephalitis is uncommon.
- Hemorrhagic features are frequent.
- Parenchymal brain disease seen by imaging is associated with a lower 3-month survival rate[11].
- CNS: CT w/ contrast or MRI w/ contrast may show ring-enhancing lesions that typically represent brain abscesses.
- Outcomes with invasive disease
- Risk factors for mortality: ongoing cancer, multi-organ failure, aggravation of preexisting organ dysfunction, receipt of adjunctive dexamethasone in CNS infection. STOP dexamethasone.
- Pregnancy: ~20-25% have fetal loss (especially before 29 weeks)
- CNS infection: ~30% mortality
- Bloodstream infection:~45% mortality
SITES OF INFECTION
- CNS: Listeria accounts for ~1-2% of neonatal and ~4-5% of adult bacterial meningitis cases
- Presents with encephalitic symptoms (87%), nuchal rigidity (65%), aphasia (19%), seizures (18%), and brainstem abnormalities (17%).
- Less commonly as focal neurological signs, CN abnormalities
- Diagnosis: positive CSF Gram stain ~30%, CSF culture ~85%, CSF PCR ~60%, BCx +63%
- Manifestations:
- Meningoencephalitis (~87%)
- Meningitis alone (~13%)
- Brainstem encephalitis/rhomboencephalitis (~17%)
- Other presentations: Brain abscess, cranial nerve deficits, cerebellar signs, and/or hemiparesis.
- Presents with encephalitic symptoms (87%), nuchal rigidity (65%), aphasia (19%), seizures (18%), and brainstem abnormalities (17%).
- Bacteremia, especially in elderly adults, pregnant women, and neonatal sepsis.
- Mortality rate ~45%
- Pregnancy:
- Diagnosis: maternal blood cultures (~ 55%), placental cultures (~80%), newborn gastric cultures (~ 80%).
- Manifestations: Fevers, obstetric signs (contractions, abnormal fetal heart rate, labor), fetal loss (~20-25%), pre-term birth (~45%).
- Bloodstream infections >> meningitis in this population.
- Gastroenteritis: fever, diarrhea, joint pains; usually in outbreaks from contaminated foods
- Focal infections (rare): Peritonitis, bones and joints, pleural, cardiac, UTI, pneumonia, biliary, adenitis, and conjunctivitis.
TREATMENT
Infections
- Meningitis
- Preferred (all doses listed are for adults with normal renal function; for neonates, see individual drug modules)
- Ampicillin 2gm IV q4-6h (or penicillin G 4 MU IV q4h)+ gentamicin 1.7mg/kg IV q8h x ≥ 3wks.
- Monitor renal function closely with gentamicin. May stop after 1-2 weeks if the patient significantly improves and/or renal function declines.
- AVOID dexamethasone: Associated with worse outcomes[1].
- If started as empiric therapy and the patient is found to have Listeria- stop dexamethasone.
- If started as empiric therapy and the patient is found to have Listeria- stop dexamethasone.
- Ampicillin 2gm IV q4-6h (or penicillin G 4 MU IV q4h)+ gentamicin 1.7mg/kg IV q8h x ≥ 3wks.
- Alternatives:
- TMP/SMX 3-5mg/kg (trimethoprim) q6h IV x ≥ 3wks
- Meropenem 2g IV q8
- Linezolid levofloxacin and rifampin also active, but experience limited. Case reports of effective use of linezolid in CNS, ocular and heart valve Listeria infections
- Fluoroquinolones: levofloxacin can be effective and has good MICs, but clinical data is limited.
- Not active/clinical failures associated with cephalosporins, vancomycin, or tetracyclines. DO NOT USE.
- Preferred (all doses listed are for adults with normal renal function; for neonates, see individual drug modules)
- Brain abscess, rhomboencephalitis or cerebritis: use meningitis options x 4-6 weeks or longer.
- Bacteremia (without meningitis): use meningitis options x 2 weeks unless immunocompromised, in which case longer therapy may be necessary.
- Gastroenteritis: as stool is not typically cultured for this organism, it is often not diagnosed and usually no antibiotic treatment.
- Consider using amoxicillin or TMP/SMX x 7d in a susceptible host if diagnosed.
General Prevention Measures
- Thoroughly cook animal-source foods.
- Thoroughly wash raw vegetables.
- Avoid unpasteurized milk and food from unpasteurized milk, especially soft cheese.
- Also, smoked seafood, meat spreads, pâtés, cold cuts, hot dogs
- Wash hands, utensils and cutting boards used with uncooked food.
- Keep ready-to-eat food cold.
- Person-to-person transmission is not a risk (except for pregnant women to unborn infants).
Prevention: High-Risk Persons
- High-risk groups: pregnant women, CMI compromise (organ transplants, chronic steroids, infliximab or other TNF-antagonists, cancer chemotherapy, elderly)
- Avoid soft cheeses: Mexican style, feta, brie, Camembert, blue cheese.
- Leftover foods and ready-to-eat foods should served only steaming hot.
- May wish to avoid food from delicatessen counters.
- Pregnancy: for those who have been exposed to Listeria, recommendations are based largely on expert opinion (ACOG 2014[3]).
- 13x higher risk for developing listeriosis than the general population
- Recommendations based on the state of the pregnant patient:
- Asymptomatic: no testing or treatment. Instruct to report sx of fever, GI disease, etc., within next 2 months as at risk.
- Mild symptoms, afebrile: no data to guide
- Perform blood culture OR
- Follow expectantly, including fetal well-being--testing if symptoms worsen
- Treatment: no clear consensus; either observe pending test results or begin empiric therapy (IV ampicillin)
- Fever (T > 38.1°C /100.6°F with our without symptoms consistent with listeriosis
- Perform simultaneous testing and treatment (IV ampicillin)
- Test: blood, placental cultures (if delivery occurs)
- TMP/SMX given to HIV-infected patients to prevent PCP is thought to reduce Listeria risk
- Routine stool culture for assessment: not recommended as it may be frequently seen with fecal carriage/shedding without causing illness
Selected Drug Comments
Drug | Recommendation |
The drug of choice by virtually all authorities in the field - based on in vitro data, animal models and a small clinical experience. The evidence that it is superior to penicillin is not convincing. The evidence that it is better than cephalosporins is very convincing. Ampicillin is allegedly bacteriostatic to Listeria, which is why many advocate adding an aminoglycoside. IV amoxicillin is available outside of the US and used in place of ampicillin | |
Cephalosporins do not have activity against Listeria. This is important to remember in the empiric selection of drugs for pyogenic meningitis. | |
Ceftriaxone/cefotaxime. Cephalosporins do not have activity against Listeria. This is important to remember in the empiric selection of drugs for pyogenic meningitis. | |
Often added to ampicillin to achieve synergy. It is not clear that this is necessary. | |
It may serve as an alternative or adjunctive drug. Experience largely limited to individual case reports | |
It may be effective. Experience mainly limited to individual case reports | |
Good in vitro activity, but very limited clinical experience and dangerous for monotherapy of any infection. OK, to add. | |
TMP/SMX is the preferred drug in patients who cannot take ampicillin. This combination has good in vitro activity and is bactericidal vs. Listeria. | |
We do not recommend use. However, there are clinical successes in bacteremia-only cases, not effective for CNS involvement. Some patients developed Listeria meningitis while receiving vancomycin. |
OTHER INFORMATION
- Although part of its name, human monocytosis is uncommon--seen in experimental animal studies in rabbits.
Basis for recommendation
- Charlier C, Perrodeau É, Leclercq A, et al. Clinical features and prognostic factors of listeriosis: the MONALISA national prospective cohort study. Lancet Infect Dis. 2017;17(5):510-519. [PMID:28139432]
Comment: Large prospective study of invasive listeriosis in France. A detailed picture of clinical manifestations and outcomes is provided in this important study. Evidence provided that dexamethasone is associated with worse outcomes
- van de Beek D, Cabellos C, Dzupova O, et al. ESCMID guideline: diagnosis and treatment of acute bacterial meningitis. Clin Microbiol Infect. 2016;22 Suppl 3:S37-62. [PMID:27062097]
Comment: Updated guidelines on bacterial meningitis that include etiologies of CNS infection (including Listeria) in different age groups and provide treatment recommendations.
- Committee Opinion No. 614: Management of pregnant women with presumptive exposure to Listeria monocytogenes. Obstet Gynecol. 2014;124(6):1241-1244. [PMID:25411758]
Comment: Recommendations regarding pregnant women who are exposed to Listeria. Presumptive testing and treatment are recommended.
- Tunkel AR, Hartman BJ, Kaplan SL, et al. Practice guidelines for the management of bacterial meningitis. Clin Infect Dis. 2004;39(9):1267-84. [PMID:15494903]
Comment: IDSA Guidelines for meningitis: For L. monocytogenes meningitis - preferred is Penicillin G or ampicillin (consider adding gentamicin ). Alternatives are TMP-SMX or meropenem. Doses: Amp - 12gm/d, gent 5mg/kg/d, TMP-SMX 10-20mg/kg (TMP)/d.
- Rados C. Preventing Listeria contamination in foods. FDA Consum. 2004;38(1):10-1. [PMID:15032197]
Comment: Keep ready-to-eat food cold
References
- Tayeb BA, Mohamed-Sharif YH, Choli FR, et al. Antimicrobial Susceptibility Profile of Listeria monocytogenes Isolated from Meat Products: A Systematic Review and Meta-Analysis. Foodborne Pathog Dis. 2023;20(8):315-333. [PMID:37389828]
Comment: From these sources that likely drive human infection, these authors found that the most prevalent antibiotic resistance found in the majority of included studies were tetracycline, clindamycin, penicillin, ampicillin, and oxacillin (I2 = 86.66%, 95% CI = 73.20-93.36, p < 0.0001). Oxacillin was the least effective, with 100% resistance rates. TCN resistance appears to correlate with PCN and amoxicillin resistance.
- Lécuyer R, Boutoille D, Khatchatourian L, et al. Listeria Endophthalmitis Cured With Linezolid in an Immunocompetent Farmer Woman: Hazard of a Sweep of a Cow's Tail. Open Forum Infect Dis. 2019;6(11):ofz459. [PMID:32377543]
Comment: A case report of successful use of linezolid for treatment of Listeria endophthalmitis.
- Schlech WF. Epidemiology and Clinical Manifestations of Listeria monocytogenes Infection. Microbiol Spectr. 2019;7(3). [PMID:31837132]
Comment: A Listeria scholar has a comprehensive look at the disease and its sources.
- Jackson KA, Gould LH, Hunter JC, et al. Listeriosis Outbreaks Associated with Soft Cheeses, United States, 1998-20141. Emerg Infect Dis. 2018;24(6):1116-1118. [PMID:29774843]
Comment: Report of multiple outbreaks of listeriosis associated with consumption of soft cheeses. Highest risk are Latin-style cheeses.
- Bergholz TM, Shah MK, Burall LS, et al. Genomic and phenotypic diversity of Listeria monocytogenes clonal complexes associated with human listeriosis. Appl Microbiol Biotechnol. 2018;102(8):3475-3485. [PMID:29500754]
Comment: Review of mechanisms by which Listeria can adapt to a range of environmental conditions and the impact that this adaptability has upon acquisition of infection in humans
- Charlier C, Poirée S, Delavaud C, et al. Imaging of Human Neurolisteriosis: A Prospective Study of 71 Cases. Clin Infect Dis. 2018;67(9):1419-1426. [PMID:29796652]
Comment: Another paper from the MONALISA study found no specific findings indicative of neurolisterosis; however, those with brain image findings had a lower 3-month survival rate. In this cohort, they found meningeal enhancement (25/71, 35%), abscess(es), or nodular image(s) evocative of an abscess (10/71, 14%), hemorrhages (11/71, 15%), contrast-enhancing ventricles, or hydrocephalus (7/71, 10%). White-matter images (42/71, 59%), dilated Virchow-Robin spaces (22/71, 31%), and cerebral atrophy were also reported (34/71, 48%). Brainstem involvement (meningeal enhancement, abscess) was reported in only 7/71 cases (10%).
- Lim S, Chung DR, Kim YS, et al. Predictive risk factors for Listeria monocytogenes meningitis compared to pneumococcal meningitis: a multicenter case-control study. Infection. 2017;45(1):67-74. [PMID:27541039]
Comment: This study compared risk factors for Listeria meningitis with those for peumococcal meningitis. Reciept of an immunosuppressive agent and liver disease where independently associated with listeriosis.
- Heiman KE, Garalde VB, Gronostaj M, et al. Multistate outbreak of listeriosis caused by imported cheese and evidence of cross-contamination of other cheeses, USA, 2012. Epidemiol Infect. 2016;144(13):2698-708. [PMID:26122394]
Comment: An outbreak of listeriosis from contaminated cheese from multiple sources. Molecular analysis connected multiple cheese sources, possibly due to cross-contamination.
- Girard D, Leclercq A, Laurent E, et al. Pregnancy-related listeriosis in France, 1984 to 2011, with a focus on 606 cases from 1999 to 2011. Euro Surveill. 2014;19(38). [PMID:25306879]
Comment: The review from France includes listeriosis in 606 listeria infections. The outcome showed a fetal loss in 27%, live-born neonatal listeriosis in 58%, and premature birth in 14%.
- Bodro M, Paterson DL. Listeriosis in patients receiving biologic therapies. Eur J Clin Microbiol Infect Dis. 2013;32(9):1225-30. [PMID:23568606]
Comment: The major risk was infliximab, based on FDA records showing 266 cases of listeriosis in patients getting biologies. Mortality rates: 11-27%.
Rating: Important - Centers for Disease Control and Prevention (CDC). Vital signs: Listeria illnesses, deaths, and outbreaks--United States, 2009-2011. MMWR Morb Mortal Wkly Rep. 2013;62(22):448-52. [PMID:23739339]
Comment: In a review of reported listeria to the CDC for 2009-2011 (n=1,651), 14% were pregnant, and 74% had immunosuppression from malignancy or treatment. Soft cheese was the most common source.
Rating: Important - Goulet V, Hebert M, Hedberg C, et al. Incidence of listeriosis and related mortality among groups at risk of acquiring listeriosis. Clin Infect Dis. 2012;54(5):652-60. [PMID:22157172]
Comment: The review was 1959 cases of listeriosis in France from 2001-2008. The risk was >1000 fold with chronic lymphocytic leukemia; risk was 100-1000 fold with liver cancer, myeloma, acute leukemia, giant cell arteritis, organ transplantation and pregnancy.
- Charlier C, Leclercq A, Cazenave B, et al. Listeria monocytogenes-associated joint and bone infections: a study of 43 consecutive cases. Clin Infect Dis. 2012;54(2):240-8. [PMID:22100574]
Comment: The authors review 43 cases of L. monocytogenes bone and joint infections. The most common treatment was amoxicillin (80%) with aminoglycosides (48%) for a median of 15 weeks. Prosthetic joints accounted for 36 (84%) at a median of 9 years post-insertion.
- Varma JK, Samuel MC, Marcus R, et al. Listeria monocytogenes infection from foods prepared in a commercial establishment: a case-control study of potential sources of sporadic illness in the United States. Clin Infect Dis. 2007;44(4):521-8. [PMID:17243054]
Comment: CDC review of non-outbreak cases in 249 patients. New food sources -- melons and hummus.
Rating: Important - Brouwer MC, van de Beek D, Heckenberg SG, et al. Community-acquired Listeria monocytogenes meningitis in adults. Clin Infect Dis. 2006;43(10):1233-8. [PMID:17051485]
Comment: Review of 30 cases of Listeria meningitis - all were immunocompromised or > 50 years of age. Gram stain of CSF was pos in 7/25 (28%), Mortality 5/30 (17%).
Rating: Important - Schlech WF, Schlech WF, Haldane H, et al. Does sporadic Listeria gastroenteritis exist? A 2-year population-based survey in Nova Scotia, Canada. Clin Infect Dis. 2005;41(6):778-84. [PMID:16107973]
Comment: Review 7,775 stools submitted for culture - 17 yielded L. monocytogenes. PFGE showed no clusters. Cases tended to have pre-existing GI conditions. The recommendation is to not culture stool for Listeria.
- Ooi ST, Lorber B. Gastroenteritis due to Listeria monocytogenes. Clin Infect Dis. 2005;40(9):1327-32. [PMID:15825036]
Comment: Review of 7 outbreaks of foodborne gastroenteritis due to L. monocytogenes. Symptoms occur 24 hrs after ingesting large inoculum with fever, watery diarrhea, nausea, headache and arthralgias. Most cases clear within 2 days and don’t require antibiotics; consider ampicillin or TMP-SMX in susceptible hosts.
- Van Kessel JS, Karns JS, Gorski L, et al. Prevalence of Salmonellae, Listeria monocytogenes, and fecal coliforms in bulk tank milk on US dairies. J Dairy Sci. 2004;87(9):2822-30. [PMID:15375040]
Comment: Analysis of 861 bulk tank milk from 21 states showed Listeria in 56 (6.5%); of these, 93% were serotypes commonly found in human disease.
- Lecuit M, Vandormael-Pournin S, Lefort J, et al. A transgenic model for listeriosis: role of internalin in crossing the intestinal barrier. Science. 2001;292(5522):1722-5. [PMID:11387478]
Comment: The authors describe A NEW VIRULENCE FACTOR for L. monocytogenes - a surface protein that binds to E - E-cadherin of enterocytes which is a necessary step for translocation.
- Dalton CB, Austin CC, Sobel J, et al. An outbreak of gastroenteritis and fever due to Listeria monocytogenes in milk. N Engl J Med. 1997;336(2):100-5. [PMID:8988887]
Comment: An outbreak of L. monocytogenes as a cause of FOODBORNE OUTBREAK among 60 attendees at a Holstein cow show ascribed to post-pasteurization contamination of chocolate milk. The attack rate was 75%; symptoms were diarrhea at 79%, fever at 72% and chills at 65%. The median incubation period was 20hrs, and the median duration of diarrhea was 42 hrs. The contamination level was up to 3x10" bacteria/person.
- Armstrong RW, Fung PC. Brainstem encephalitis (rhombencephalitis) due to Listeria monocytogenes: case report and review. Clin Infect Dis. 1993;16(5):689-702. [PMID:8507761]
Comment: This is a BRAINSTEM ENCEPHALITIS, an unusual CNS complication of Listeria that occurs in previously healthy adults. It is analogous to "circling disease" in sheep. Clinical features are biphasic: fever, headache, nausea & vomiting, lasting several days and then cerebellar signs: cranial nerve deficits & hemiparesis. CSF shows increased protein & WBC; culture is positive in 50%. MRI shows rhomboencephalitis.
- Durand ML, Calderwood SB, Weber DJ, et al. Acute bacterial meningitis in adults. A review of 493 episodes. N Engl J Med. 1993;328(1):21-8. [PMID:8416268]
Comment: This review showed L. monocytogenes accounted for 29 (11%) of 253 cases of community-acquired MENINGITIS and had a mortality rate of 21%.
- Kalstone C. Successful antepartum treatment of listeriosis. Am J Obstet Gynecol. 1991;164(1 Pt 1):57-8. [PMID:1986626]
Comment: Infection in PREGNANCY usually occurs in 3rd trimester, 22% results in stillbirth, susceptibility presumed to be due to compromised CMI of pregnancy, maternal meningitis is rare & early therapy is often effective in protecting the infant.
- Gallagher PG, Watanakunakorn C. Listeria monocytogenes endocarditis: a review of the literature 1950-1986. Scand J Infect Dis. 1988;20(4):359-68. [PMID:3057615]
Comment: Listeria accounts for about 7% of ENDOCARDITIS cases in adults, usually in patients with pre-existing valve disease. The mortality rate in this review was 48%.
Media
Listeria monocytogenes
Gram positive rods of L. monocytogenes seen in this specimen from a newborn among a background of WBCs.
Source: CDC/Charles N. Farmer

Johns Hopkins ABX Guide

